Digital Database for Screening Mammography

Volume: cancer_01 Case: B-3057-1


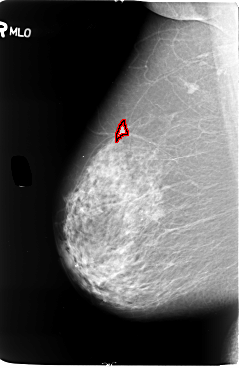
B_3057_1.RIGHT_MLO

B_3057_1.LEFT_MLO

B_3057_1.RIGHT_CC

B_3057_1.LEFT_CC

ics_version 1.0
filename B-3057-1
DATE_OF_STUDY 28 2 1994
PATIENT_AGE 72
FILM
FILM_TYPE REGULAR
DENSITY 3
DATE_DIGITIZED 15 9 1997
DIGITIZER LUMISYS LASER
SEQUENCE
LEFT_CC LINES 5872 PIXELS_PER_LINE 3608 BITS_PER_PIXEL 12 RESOLUTION 50 NON_OVERLAY
LEFT_MLO LINES 5840 PIXELS_PER_LINE 3624 BITS_PER_PIXEL 12 RESOLUTION 50 NON_OVERLAY
RIGHT_CC LINES 5912 PIXELS_PER_LINE 3536 BITS_PER_PIXEL 12 RESOLUTION 50 OVERLAY
RIGHT_MLO LINES 5888 PIXELS_PER_LINE 3816 BITS_PER_PIXEL 12 RESOLUTION 50 OVERLAY

FILE: B_3057_1.RIGHT_MLO.OVERLAY

TOTAL_ABNORMALITIES 1
ABNORMALITY 1
LESION_TYPE MASS SHAPE IRREGULAR MARGINS SPICULATED
ASSESSMENT 4
SUBTLETY 3
PATHOLOGY MALIGNANT
TOTAL_OUTLINES 1 
BOUNDARY
FILE: B_3057_1.RIGHT_CC.OVERLAY

TOTAL_ABNORMALITIES 1
ABNORMALITY 1
LESION_TYPE MASS SHAPE IRREGULAR MARGINS MICROLOBULATED
ASSESSMENT 4
SUBTLETY 3
PATHOLOGY MALIGNANT
TOTAL_OUTLINES 1 
BOUNDARY