Digital Database for Screening Mammography

Volume: cancer_01 Case: B-3064-1


B_3064_1.RIGHT_MLO

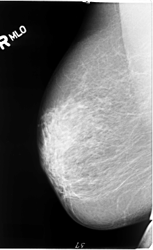
B_3064_1.LEFT_MLO

B_3064_1.RIGHT_CC

B_3064_1.LEFT_CC

ics_version 1.0
filename B-3064-1
DATE_OF_STUDY 16 9 1994
PATIENT_AGE 76
FILM
FILM_TYPE REGULAR
DENSITY 3
DATE_DIGITIZED 15 9 1997
DIGITIZER LUMISYS LASER
SEQUENCE
LEFT_CC LINES 4656 PIXELS_PER_LINE 2944 BITS_PER_PIXEL 12 RESOLUTION 50 OVERLAY
LEFT_MLO LINES 4640 PIXELS_PER_LINE 2912 BITS_PER_PIXEL 12 RESOLUTION 50 OVERLAY
RIGHT_CC LINES 4672 PIXELS_PER_LINE 2808 BITS_PER_PIXEL 12 RESOLUTION 50 NON_OVERLAY
RIGHT_MLO LINES 4664 PIXELS_PER_LINE 2856 BITS_PER_PIXEL 12 RESOLUTION 50 NON_OVERLAY

FILE: B_3064_1.LEFT_MLO.OVERLAY

TOTAL_ABNORMALITIES 1
ABNORMALITY 1
LESION_TYPE MASS SHAPE IRREGULAR MARGINS SPICULATED
ASSESSMENT 5
SUBTLETY 5
PATHOLOGY MALIGNANT
TOTAL_OUTLINES 1 
BOUNDARY
FILE: B_3064_1.LEFT_CC.OVERLAY

TOTAL_ABNORMALITIES 1
ABNORMALITY 1
LESION_TYPE MASS SHAPE IRREGULAR MARGINS SPICULATED
ASSESSMENT 4
SUBTLETY 4
PATHOLOGY MALIGNANT
TOTAL_OUTLINES 1 
BOUNDARY