Digital Database for Screening Mammography

Volume: cancer_01 Case: B-3072-1


B_3072_1.RIGHT_MLO

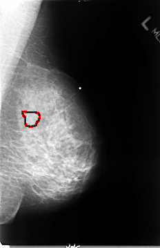
B_3072_1.LEFT_MLO

B_3072_1.RIGHT_CC

B_3072_1.LEFT_CC

ics_version 1.0
filename B-3072-1
DATE_OF_STUDY 16 9 1994
PATIENT_AGE 38
FILM
FILM_TYPE REGULAR
DENSITY 3
DATE_DIGITIZED 26 9 1997
DIGITIZER LUMISYS LASER
SEQUENCE
LEFT_CC LINES 4720 PIXELS_PER_LINE 2840 BITS_PER_PIXEL 12 RESOLUTION 50 OVERLAY
LEFT_MLO LINES 4656 PIXELS_PER_LINE 3016 BITS_PER_PIXEL 12 RESOLUTION 50 OVERLAY
RIGHT_CC LINES 4744 PIXELS_PER_LINE 2984 BITS_PER_PIXEL 12 RESOLUTION 50 NON_OVERLAY
RIGHT_MLO LINES 4672 PIXELS_PER_LINE 2872 BITS_PER_PIXEL 12 RESOLUTION 50 NON_OVERLAY

FILE: B_3072_1.LEFT_MLO.OVERLAY

TOTAL_ABNORMALITIES 1
ABNORMALITY 1
LESION_TYPE MASS SHAPE IRREGULAR MARGINS OBSCURED-ILL_DEFINED
ASSESSMENT 3
SUBTLETY 3
PATHOLOGY MALIGNANT
TOTAL_OUTLINES 1 
BOUNDARY
FILE: B_3072_1.LEFT_CC.OVERLAY

TOTAL_ABNORMALITIES 1
ABNORMALITY 1
LESION_TYPE MASS SHAPE IRREGULAR MARGINS OBSCURED-ILL_DEFINED
ASSESSMENT 3
SUBTLETY 3
PATHOLOGY MALIGNANT
TOTAL_OUTLINES 1 
BOUNDARY