Digital Database for Screening Mammography

Volume: cancer_02 Case: C-0041-1


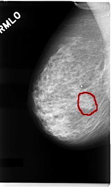
C_0041_1.RIGHT_MLO

C_0041_1.LEFT_MLO

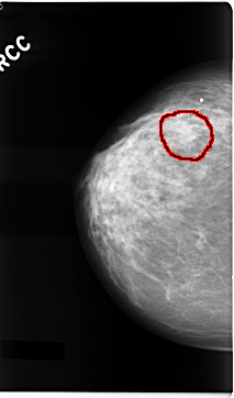
C_0041_1.RIGHT_CC

C_0041_1.LEFT_CC

ics_version 1.0
filename C-0041-1
DATE_OF_STUDY 4 2 1993
PATIENT_AGE 72
FILM
FILM_TYPE REGULAR
DENSITY 2
DATE_DIGITIZED 8 10 1997
DIGITIZER LUMISYS LASER
SEQUENCE
LEFT_CC LINES 4632 PIXELS_PER_LINE 2680 BITS_PER_PIXEL 12 RESOLUTION 50 NON_OVERLAY
LEFT_MLO LINES 4648 PIXELS_PER_LINE 2808 BITS_PER_PIXEL 12 RESOLUTION 50 NON_OVERLAY
RIGHT_CC LINES 4704 PIXELS_PER_LINE 2768 BITS_PER_PIXEL 12 RESOLUTION 50 OVERLAY
RIGHT_MLO LINES 4736 PIXELS_PER_LINE 2824 BITS_PER_PIXEL 12 RESOLUTION 50 OVERLAY

FILE: C_0041_1.RIGHT_MLO.OVERLAY

TOTAL_ABNORMALITIES 1
ABNORMALITY 1
LESION_TYPE MASS SHAPE IRREGULAR MARGINS SPICULATED
ASSESSMENT 4
SUBTLETY 3
PATHOLOGY MALIGNANT
TOTAL_OUTLINES 1 
BOUNDARY
FILE: C_0041_1.RIGHT_CC.OVERLAY

TOTAL_ABNORMALITIES 1
ABNORMALITY 1
LESION_TYPE MASS SHAPE IRREGULAR MARGINS ILL_DEFINED
ASSESSMENT 4
SUBTLETY 3
PATHOLOGY MALIGNANT
TOTAL_OUTLINES 1 
BOUNDARY