Digital Database for Screening Mammography

Volume: cancer_02 Case: C-0052-1


C_0052_1.RIGHT_MLO

C_0052_1.LEFT_MLO

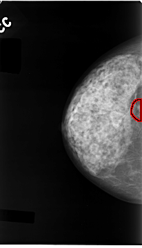
C_0052_1.RIGHT_CC

C_0052_1.LEFT_CC

ics_version 1.0
filename C-0052-1
DATE_OF_STUDY 19 2 1993
PATIENT_AGE 63
FILM
FILM_TYPE REGULAR
DENSITY 3
DATE_DIGITIZED 6 11 1997
DIGITIZER LUMISYS LASER
SEQUENCE
LEFT_CC LINES 4704 PIXELS_PER_LINE 2616 BITS_PER_PIXEL 12 RESOLUTION 50 NON_OVERLAY
LEFT_MLO LINES 4672 PIXELS_PER_LINE 2832 BITS_PER_PIXEL 12 RESOLUTION 50 NON_OVERLAY
RIGHT_CC LINES 4680 PIXELS_PER_LINE 2672 BITS_PER_PIXEL 12 RESOLUTION 50 OVERLAY
RIGHT_MLO LINES 4680 PIXELS_PER_LINE 2616 BITS_PER_PIXEL 12 RESOLUTION 50 NON_OVERLAY

FILE: C_0052_1.RIGHT_CC.OVERLAY

TOTAL_ABNORMALITIES 1
ABNORMALITY 1
LESION_TYPE MASS SHAPE LOBULATED MARGINS MICROLOBULATED
ASSESSMENT 4
SUBTLETY 1
PATHOLOGY MALIGNANT
TOTAL_OUTLINES 1 
BOUNDARY