Digital Database for Screening Mammography

Volume: cancer_02 Case: C-0059-1


C_0059_1.RIGHT_MLO

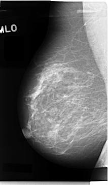
C_0059_1.LEFT_MLO

C_0059_1.RIGHT_CC

C_0059_1.LEFT_CC

ics_version 1.0
filename C-0059-1
DATE_OF_STUDY 23 11 1993
PATIENT_AGE 52
FILM
FILM_TYPE REGULAR
DENSITY 2
DATE_DIGITIZED 23 10 1997
DIGITIZER LUMISYS LASER
SEQUENCE
LEFT_CC LINES 4720 PIXELS_PER_LINE 2672 BITS_PER_PIXEL 12 RESOLUTION 50 OVERLAY
LEFT_MLO LINES 4712 PIXELS_PER_LINE 2712 BITS_PER_PIXEL 12 RESOLUTION 50 OVERLAY
RIGHT_CC LINES 4680 PIXELS_PER_LINE 2656 BITS_PER_PIXEL 12 RESOLUTION 50 NON_OVERLAY
RIGHT_MLO LINES 4720 PIXELS_PER_LINE 2768 BITS_PER_PIXEL 12 RESOLUTION 50 NON_OVERLAY

FILE: C_0059_1.LEFT_MLO.OVERLAY

TOTAL_ABNORMALITIES 1
ABNORMALITY 1
LESION_TYPE MASS SHAPE IRREGULAR MARGINS SPICULATED
ASSESSMENT 5
SUBTLETY 4
PATHOLOGY MALIGNANT
TOTAL_OUTLINES 1 
BOUNDARY
FILE: C_0059_1.LEFT_CC.OVERLAY

TOTAL_ABNORMALITIES 1
ABNORMALITY 1
LESION_TYPE MASS SHAPE IRREGULAR MARGINS SPICULATED
ASSESSMENT 5
SUBTLETY 5
PATHOLOGY MALIGNANT
TOTAL_OUTLINES 1 
BOUNDARY