![]() |
![]() |
![]() |
![]() |
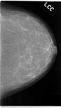
ics_version 1.0 filename C-0131-1 DATE_OF_STUDY 22 9 1995 PATIENT_AGE 48 FILM FILM_TYPE REGULAR DENSITY 1 DATE_DIGITIZED 16 1 1998 DIGITIZER LUMISYS LASER SEQUENCE LEFT_CC LINES 4776 PIXELS_PER_LINE 2712 BITS_PER_PIXEL 12 RESOLUTION 50 NON_OVERLAY LEFT_MLO LINES 4696 PIXELS_PER_LINE 2760 BITS_PER_PIXEL 12 RESOLUTION 50 NON_OVERLAY RIGHT_CC LINES 4736 PIXELS_PER_LINE 2616 BITS_PER_PIXEL 12 RESOLUTION 50 OVERLAY RIGHT_MLO LINES 4704 PIXELS_PER_LINE 2720 BITS_PER_PIXEL 12 RESOLUTION 50 OVERLAY |
FILE: C_0131_1.RIGHT_MLO.OVERLAY TOTAL_ABNORMALITIES 1 ABNORMALITY 1 LESION_TYPE MASS SHAPE LOBULATED MARGINS CIRCUMSCRIBED ASSESSMENT 5 SUBTLETY 5 PATHOLOGY MALIGNANT TOTAL_OUTLINES 1 BOUNDARY |
FILE: C_0131_1.RIGHT_CC.OVERLAY TOTAL_ABNORMALITIES 1 ABNORMALITY 1 LESION_TYPE MASS SHAPE LOBULATED MARGINS CIRCUMSCRIBED ASSESSMENT 5 SUBTLETY 5 PATHOLOGY MALIGNANT TOTAL_OUTLINES 1 BOUNDARY |