Digital Database for Screening Mammography

Volume: cancer_03 Case: A-1003-1


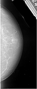
A_1003_1.LEFT_MLO

A_1003_1.RIGHT_MLO

A_1003_1.LEFT_CC

A_1003_1.RIGHT_CC

ics_version 1.0
filename A-1003-1
DATE_OF_STUDY 24 1 1990
PATIENT_AGE 58
FILM
FILM_TYPE REGULAR
DENSITY 2
DATE_DIGITIZED 16 12 1997
DIGITIZER DBA 21
SEQUENCE
LEFT_CC LINES 4351 PIXELS_PER_LINE 1771 BITS_PER_PIXEL 16 RESOLUTION 42 OVERLAY
LEFT_MLO LINES 4996 PIXELS_PER_LINE 1936 BITS_PER_PIXEL 16 RESOLUTION 42 OVERLAY
RIGHT_CC LINES 4081 PIXELS_PER_LINE 1681 BITS_PER_PIXEL 16 RESOLUTION 42 NON_OVERLAY
RIGHT_MLO LINES 5371 PIXELS_PER_LINE 1951 BITS_PER_PIXEL 16 RESOLUTION 42 NON_OVERLAY

FILE: A_1003_1.LEFT_MLO.OVERLAY

TOTAL_ABNORMALITIES 1
ABNORMALITY 1 
LESION_TYPE CALCIFICATION TYPE PLEOMORPHIC DISTRIBUTION CLUSTERED
ASSESSMENT 4 
SUBTLETY 3 
PATHOLOGY MALIGNANT
TOTAL_OUTLINES 1 
BOUNDARY
FILE: A_1003_1.LEFT_CC.OVERLAY

TOTAL_ABNORMALITIES 1
ABNORMALITY 1 
LESION_TYPE CALCIFICATION TYPE PLEOMORPHIC DISTRIBUTION CLUSTERED
ASSESSMENT 4 
SUBTLETY 3 
PATHOLOGY MALIGNANT
TOTAL_OUTLINES 1 
BOUNDARY