Digital Database for Screening Mammography

Volume: cancer_03 Case: A-1019-1


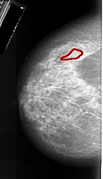
A_1019_1.LEFT_MLO

A_1019_1.RIGHT_MLO

A_1019_1.LEFT_CC

A_1019_1.RIGHT_CC

ics_version 1.0
filename A-1019-1
DATE_OF_STUDY 21 6 1990
PATIENT_AGE 74
FILM
FILM_TYPE REGULAR
DENSITY 3
DATE_DIGITIZED 16 12 1997
DIGITIZER DBA 21
SEQUENCE
LEFT_CC LINES 5821 PIXELS_PER_LINE 3331 BITS_PER_PIXEL 16 RESOLUTION 42 OVERLAY
LEFT_MLO LINES 5776 PIXELS_PER_LINE 3211 BITS_PER_PIXEL 16 RESOLUTION 42 OVERLAY
RIGHT_CC LINES 5581 PIXELS_PER_LINE 3001 BITS_PER_PIXEL 16 RESOLUTION 42 NON_OVERLAY
RIGHT_MLO LINES 6301 PIXELS_PER_LINE 2731 BITS_PER_PIXEL 16 RESOLUTION 42 NON_OVERLAY

FILE: A_1019_1.LEFT_MLO.OVERLAY

TOTAL_ABNORMALITIES 1
ABNORMALITY 1 
LESION_TYPE CALCIFICATION TYPE PLEOMORPHIC DISTRIBUTION LINEAR
ASSESSMENT 4 
SUBTLETY 3 
PATHOLOGY MALIGNANT
TOTAL_OUTLINES 1 
BOUNDARY
FILE: A_1019_1.LEFT_CC.OVERLAY

TOTAL_ABNORMALITIES 1
ABNORMALITY 1 
LESION_TYPE CALCIFICATION TYPE PLEOMORPHIC DISTRIBUTION LINEAR
ASSESSMENT 4 
SUBTLETY 3 
PATHOLOGY MALIGNANT
TOTAL_OUTLINES 1 
BOUNDARY