![]() |
![]() |
![]() |
![]() |
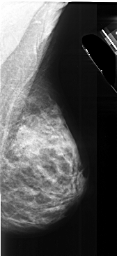
ics_version 1.0 filename A-1027-1 DATE_OF_STUDY 25 1 1993 PATIENT_AGE 48 FILM FILM_TYPE REGULAR DENSITY 4 DATE_DIGITIZED 7 1 1998 DIGITIZER DBA 21 SEQUENCE LEFT_CC LINES 4801 PIXELS_PER_LINE 2746 BITS_PER_PIXEL 16 RESOLUTION 42 OVERLAY LEFT_MLO LINES 5281 PIXELS_PER_LINE 2521 BITS_PER_PIXEL 16 RESOLUTION 42 OVERLAY RIGHT_CC LINES 4576 PIXELS_PER_LINE 2326 BITS_PER_PIXEL 16 RESOLUTION 42 NON_OVERLAY RIGHT_MLO LINES 5476 PIXELS_PER_LINE 2506 BITS_PER_PIXEL 16 RESOLUTION 42 NON_OVERLAY |
FILE: A_1027_1.LEFT_MLO.OVERLAY TOTAL_ABNORMALITIES 1 ABNORMALITY 1 LESION_TYPE MASS SHAPE LOBULATED MARGINS SPICULATED ASSESSMENT 5 SUBTLETY 4 PATHOLOGY MALIGNANT TOTAL_OUTLINES 2 BOUNDARY CORE |
FILE: A_1027_1.LEFT_CC.OVERLAY TOTAL_ABNORMALITIES 1 ABNORMALITY 1 LESION_TYPE MASS SHAPE LOBULATED MARGINS SPICULATED ASSESSMENT 5 SUBTLETY 4 PATHOLOGY MALIGNANT TOTAL_OUTLINES 1 BOUNDARY |