![]() |
![]() |
![]() |
![]() |
ics_version 1.0 filename C-0060-1 DATE_OF_STUDY 11 3 1993 PATIENT_AGE 47 FILM FILM_TYPE REGULAR DENSITY 3 DATE_DIGITIZED 23 10 1997 DIGITIZER LUMISYS LASER SEQUENCE LEFT_CC LINES 4704 PIXELS_PER_LINE 2624 BITS_PER_PIXEL 12 RESOLUTION 50 OVERLAY LEFT_MLO LINES 4704 PIXELS_PER_LINE 2512 BITS_PER_PIXEL 12 RESOLUTION 50 OVERLAY RIGHT_CC LINES 4704 PIXELS_PER_LINE 2696 BITS_PER_PIXEL 12 RESOLUTION 50 OVERLAY RIGHT_MLO LINES 4712 PIXELS_PER_LINE 2672 BITS_PER_PIXEL 12 RESOLUTION 50 OVERLAY |
FILE: C_0060_1.LEFT_MLO.OVERLAY TOTAL_ABNORMALITIES 1 ABNORMALITY 1 LESION_TYPE CALCIFICATION TYPE AMORPHOUS DISTRIBUTION CLUSTERED ASSESSMENT 4 SUBTLETY 2 PATHOLOGY MALIGNANT TOTAL_OUTLINES 1 BOUNDARY |
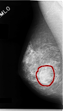
FILE: C_0060_1.RIGHT_MLO.OVERLAY TOTAL_ABNORMALITIES 1 ABNORMALITY 1 LESION_TYPE MASS SHAPE ROUND MARGINS CIRCUMSCRIBED ASSESSMENT 3 SUBTLETY 5 PATHOLOGY BENIGN TOTAL_OUTLINES 1 BOUNDARY |
FILE: C_0060_1.LEFT_CC.OVERLAY TOTAL_ABNORMALITIES 1 ABNORMALITY 1 LESION_TYPE CALCIFICATION TYPE AMORPHOUS DISTRIBUTION CLUSTERED ASSESSMENT 4 SUBTLETY 2 PATHOLOGY MALIGNANT TOTAL_OUTLINES 1 BOUNDARY |
FILE: C_0060_1.RIGHT_CC.OVERLAY TOTAL_ABNORMALITIES 1 ABNORMALITY 1 LESION_TYPE MASS SHAPE OVAL MARGINS CIRCUMSCRIBED ASSESSMENT 3 SUBTLETY 5 PATHOLOGY BENIGN TOTAL_OUTLINES 1 BOUNDARY |