Digital Database for Screening Mammography

Volume: cancer_05 Case: C-0085-1


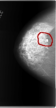
C_0085_1.RIGHT_MLO

C_0085_1.LEFT_MLO

C_0085_1.RIGHT_CC

C_0085_1.LEFT_CC

ics_version 1.0
filename C-0085-1
DATE_OF_STUDY 19 8 1994
PATIENT_AGE 54
FILM
FILM_TYPE REGULAR
DENSITY 3
DATE_DIGITIZED 13 11 1997
DIGITIZER LUMISYS LASER
SEQUENCE
LEFT_CC LINES 5912 PIXELS_PER_LINE 3024 BITS_PER_PIXEL 12 RESOLUTION 50 NON_OVERLAY
LEFT_MLO LINES 5928 PIXELS_PER_LINE 3040 BITS_PER_PIXEL 12 RESOLUTION 50 NON_OVERLAY
RIGHT_CC LINES 5920 PIXELS_PER_LINE 3072 BITS_PER_PIXEL 12 RESOLUTION 50 OVERLAY
RIGHT_MLO LINES 5840 PIXELS_PER_LINE 3248 BITS_PER_PIXEL 12 RESOLUTION 50 OVERLAY

FILE: C_0085_1.RIGHT_MLO.OVERLAY

TOTAL_ABNORMALITIES 1
ABNORMALITY 1
LESION_TYPE MASS SHAPE IRREGULAR MARGINS SPICULATED
ASSESSMENT 5
SUBTLETY 4
PATHOLOGY MALIGNANT
TOTAL_OUTLINES 1 
BOUNDARY
FILE: C_0085_1.RIGHT_CC.OVERLAY

TOTAL_ABNORMALITIES 1
ABNORMALITY 1
LESION_TYPE MASS SHAPE IRREGULAR MARGINS SPICULATED
ASSESSMENT 5
SUBTLETY 4
PATHOLOGY MALIGNANT
TOTAL_OUTLINES 1 
BOUNDARY