Digital Database for Screening Mammography

Volume: cancer_05 Case: C-0128-1


C_0128_1.RIGHT_MLO

C_0128_1.LEFT_MLO

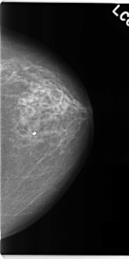
C_0128_1.RIGHT_CC

C_0128_1.LEFT_CC

ics_version 1.0
filename C-0128-1
DATE_OF_STUDY 26 2 1996
PATIENT_AGE 63
FILM
FILM_TYPE REGULAR
DENSITY 2
DATE_DIGITIZED 16 1 1998
DIGITIZER LUMISYS LASER
SEQUENCE
LEFT_CC LINES 4720 PIXELS_PER_LINE 2360 BITS_PER_PIXEL 12 RESOLUTION 50 NON_OVERLAY
LEFT_MLO LINES 4720 PIXELS_PER_LINE 2512 BITS_PER_PIXEL 12 RESOLUTION 50 NON_OVERLAY
RIGHT_CC LINES 4728 PIXELS_PER_LINE 2440 BITS_PER_PIXEL 12 RESOLUTION 50 OVERLAY
RIGHT_MLO LINES 4704 PIXELS_PER_LINE 2504 BITS_PER_PIXEL 12 RESOLUTION 50 OVERLAY

FILE: C_0128_1.RIGHT_MLO.OVERLAY

TOTAL_ABNORMALITIES 1
ABNORMALITY 1
LESION_TYPE MASS SHAPE OVAL MARGINS MICROLOBULATED
ASSESSMENT 5
SUBTLETY 5
PATHOLOGY MALIGNANT
TOTAL_OUTLINES 1 
BOUNDARY
FILE: C_0128_1.RIGHT_CC.OVERLAY

TOTAL_ABNORMALITIES 1
ABNORMALITY 1
LESION_TYPE MASS SHAPE OVAL MARGINS MICROLOBULATED
ASSESSMENT 5
SUBTLETY 5
PATHOLOGY MALIGNANT
TOTAL_OUTLINES 1 
BOUNDARY