Digital Database for Screening Mammography

Volume: cancer_05 Case: C-0140-1


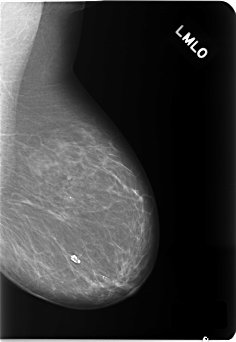
C_0140_1.RIGHT_MLO

C_0140_1.LEFT_MLO

C_0140_1.RIGHT_CC

C_0140_1.LEFT_CC

ics_version 1.0
filename C-0140-1
DATE_OF_STUDY 22 9 1995
PATIENT_AGE 68
FILM
FILM_TYPE REGULAR
DENSITY 1
DATE_DIGITIZED 18 2 1998
DIGITIZER LUMISYS LASER
SEQUENCE
LEFT_CC LINES 5856 PIXELS_PER_LINE 3280 BITS_PER_PIXEL 12 RESOLUTION 50 NON_OVERLAY
LEFT_MLO LINES 5800 PIXELS_PER_LINE 4008 BITS_PER_PIXEL 12 RESOLUTION 50 NON_OVERLAY
RIGHT_CC LINES 5848 PIXELS_PER_LINE 3208 BITS_PER_PIXEL 12 RESOLUTION 50 OVERLAY
RIGHT_MLO LINES 5936 PIXELS_PER_LINE 3248 BITS_PER_PIXEL 12 RESOLUTION 50 OVERLAY

FILE: C_0140_1.RIGHT_MLO.OVERLAY

TOTAL_ABNORMALITIES 1
ABNORMALITY 1
LESION_TYPE MASS SHAPE OVAL MARGINS MICROLOBULATED
ASSESSMENT 4
SUBTLETY 5
PATHOLOGY MALIGNANT
TOTAL_OUTLINES 1 
BOUNDARY
FILE: C_0140_1.RIGHT_CC.OVERLAY

TOTAL_ABNORMALITIES 1
ABNORMALITY 1
LESION_TYPE MASS SHAPE ROUND MARGINS MICROLOBULATED
ASSESSMENT 4
SUBTLETY 5
PATHOLOGY MALIGNANT
TOTAL_OUTLINES 1 
BOUNDARY