Digital Database for Screening Mammography

Volume: cancer_05 Case: C-0142-1


C_0142_1.RIGHT_MLO

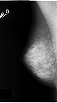
C_0142_1.LEFT_MLO

C_0142_1.RIGHT_CC

C_0142_1.LEFT_CC

ics_version 1.0
filename C-0142-1
DATE_OF_STUDY 27 10 1995
PATIENT_AGE 60
FILM
FILM_TYPE REGULAR
DENSITY 4
DATE_DIGITIZED 18 2 1998
DIGITIZER LUMISYS LASER
SEQUENCE
LEFT_CC LINES 4736 PIXELS_PER_LINE 2632 BITS_PER_PIXEL 12 RESOLUTION 50 OVERLAY
LEFT_MLO LINES 4696 PIXELS_PER_LINE 2712 BITS_PER_PIXEL 12 RESOLUTION 50 OVERLAY
RIGHT_CC LINES 4704 PIXELS_PER_LINE 2664 BITS_PER_PIXEL 12 RESOLUTION 50 NON_OVERLAY
RIGHT_MLO LINES 4672 PIXELS_PER_LINE 2600 BITS_PER_PIXEL 12 RESOLUTION 50 NON_OVERLAY

FILE: C_0142_1.LEFT_MLO.OVERLAY

TOTAL_ABNORMALITIES 1
ABNORMALITY 1
LESION_TYPE MASS SHAPE ARCHITECTURAL_DISTORTION MARGINS ILL_DEFINED
ASSESSMENT 3
SUBTLETY 3
PATHOLOGY MALIGNANT
TOTAL_OUTLINES 1 
BOUNDARY
FILE: C_0142_1.LEFT_CC.OVERLAY

TOTAL_ABNORMALITIES 1
ABNORMALITY 1
LESION_TYPE MASS SHAPE IRREGULAR MARGINS SPICULATED
ASSESSMENT 5
SUBTLETY 4
PATHOLOGY MALIGNANT
TOTAL_OUTLINES 1 
BOUNDARY