Digital Database for Screening Mammography

Volume: cancer_05 Case: C-0144-1


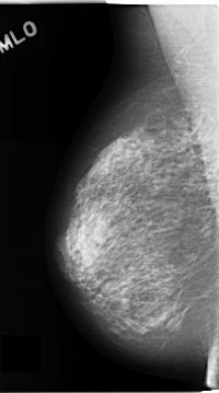
C_0144_1.RIGHT_MLO

C_0144_1.LEFT_MLO

C_0144_1.RIGHT_CC

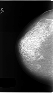
C_0144_1.LEFT_CC

ics_version 1.0
filename C-0144-1
DATE_OF_STUDY 3 7 1995
PATIENT_AGE 74
FILM
FILM_TYPE REGULAR
DENSITY 3
DATE_DIGITIZED 18 2 1998
DIGITIZER LUMISYS LASER
SEQUENCE
LEFT_CC LINES 4720 PIXELS_PER_LINE 2680 BITS_PER_PIXEL 12 RESOLUTION 50 OVERLAY
LEFT_MLO LINES 4720 PIXELS_PER_LINE 2696 BITS_PER_PIXEL 12 RESOLUTION 50 OVERLAY
RIGHT_CC LINES 4704 PIXELS_PER_LINE 2672 BITS_PER_PIXEL 12 RESOLUTION 50 NON_OVERLAY
RIGHT_MLO LINES 4664 PIXELS_PER_LINE 2592 BITS_PER_PIXEL 12 RESOLUTION 50 NON_OVERLAY

FILE: C_0144_1.LEFT_MLO.OVERLAY

TOTAL_ABNORMALITIES 1
ABNORMALITY 1
LESION_TYPE CALCIFICATION TYPE FINE_LINEAR_BRANCHING DISTRIBUTION REGIONAL
ASSESSMENT 5
SUBTLETY 5
PATHOLOGY MALIGNANT
TOTAL_OUTLINES 1 
BOUNDARY
FILE: C_0144_1.LEFT_CC.OVERLAY

TOTAL_ABNORMALITIES 1
ABNORMALITY 1
LESION_TYPE CALCIFICATION TYPE FINE_LINEAR_BRANCHING DISTRIBUTION REGIONAL
ASSESSMENT 5
SUBTLETY 5
PATHOLOGY MALIGNANT
TOTAL_OUTLINES 1 
BOUNDARY