Digital Database for Screening Mammography

Volume: cancer_05 Case: C-0165-1


C_0165_1.RIGHT_MLO

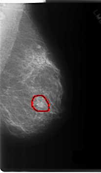
C_0165_1.LEFT_MLO

C_0165_1.RIGHT_CC

C_0165_1.LEFT_CC

ics_version 1.0
filename C-0165-1
DATE_OF_STUDY 31 10 1996
PATIENT_AGE 44
FILM
FILM_TYPE REGULAR
DENSITY 2
DATE_DIGITIZED 11 3 1998
DIGITIZER LUMISYS LASER
SEQUENCE
LEFT_CC LINES 5992 PIXELS_PER_LINE 3472 BITS_PER_PIXEL 12 RESOLUTION 50 OVERLAY
LEFT_MLO LINES 6016 PIXELS_PER_LINE 3504 BITS_PER_PIXEL 12 RESOLUTION 50 OVERLAY
RIGHT_CC LINES 5896 PIXELS_PER_LINE 3424 BITS_PER_PIXEL 12 RESOLUTION 50 NON_OVERLAY
RIGHT_MLO LINES 5920 PIXELS_PER_LINE 3632 BITS_PER_PIXEL 12 RESOLUTION 50 NON_OVERLAY

FILE: C_0165_1.LEFT_MLO.OVERLAY

TOTAL_ABNORMALITIES 1
ABNORMALITY 1
LESION_TYPE MASS SHAPE ROUND MARGINS SPICULATED
ASSESSMENT 5
SUBTLETY 5
PATHOLOGY MALIGNANT
TOTAL_OUTLINES 1 
BOUNDARY
FILE: C_0165_1.LEFT_CC.OVERLAY

TOTAL_ABNORMALITIES 1
ABNORMALITY 1
LESION_TYPE MASS SHAPE ROUND MARGINS SPICULATED
ASSESSMENT 5
SUBTLETY 5
PATHOLOGY MALIGNANT
TOTAL_OUTLINES 1 
BOUNDARY