Digital Database for Screening Mammography

Volume: cancer_05 Case: C-0170-1


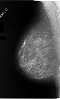
C_0170_1.RIGHT_MLO

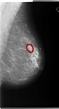
C_0170_1.LEFT_MLO

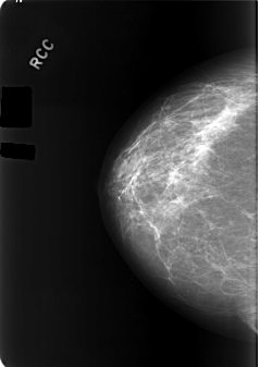
C_0170_1.RIGHT_CC

C_0170_1.LEFT_CC

ics_version 1.0
filename C-0170-1
DATE_OF_STUDY 19 7 1993
PATIENT_AGE 37
FILM
FILM_TYPE REGULAR
DENSITY 2
DATE_DIGITIZED 11 3 1998
DIGITIZER LUMISYS LASER
SEQUENCE
LEFT_CC LINES 5952 PIXELS_PER_LINE 3352 BITS_PER_PIXEL 12 RESOLUTION 50 OVERLAY
LEFT_MLO LINES 5952 PIXELS_PER_LINE 3264 BITS_PER_PIXEL 12 RESOLUTION 50 OVERLAY
RIGHT_CC LINES 5720 PIXELS_PER_LINE 4056 BITS_PER_PIXEL 12 RESOLUTION 50 NON_OVERLAY
RIGHT_MLO LINES 5856 PIXELS_PER_LINE 3560 BITS_PER_PIXEL 12 RESOLUTION 50 NON_OVERLAY

FILE: C_0170_1.LEFT_MLO.OVERLAY

TOTAL_ABNORMALITIES 1
ABNORMALITY 1
LESION_TYPE MASS SHAPE OVAL MARGINS SPICULATED
ASSESSMENT 5
SUBTLETY 4
PATHOLOGY MALIGNANT
TOTAL_OUTLINES 1 
BOUNDARY
FILE: C_0170_1.LEFT_CC.OVERLAY

TOTAL_ABNORMALITIES 1
ABNORMALITY 1
LESION_TYPE MASS SHAPE ARCHITECTURAL_DISTORTION MARGINS SPICULATED
ASSESSMENT 5
SUBTLETY 5
PATHOLOGY MALIGNANT
TOTAL_OUTLINES 1 
BOUNDARY