Digital Database for Screening Mammography

Volume: cancer_05 Case: C-0182-1


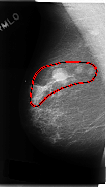
C_0182_1.RIGHT_MLO

C_0182_1.LEFT_MLO

C_0182_1.RIGHT_CC

C_0182_1.LEFT_CC

ics_version 1.0
filename C-0182-1
DATE_OF_STUDY 13 5 1996
PATIENT_AGE 62
FILM
FILM_TYPE REGULAR
DENSITY 1
DATE_DIGITIZED 19 3 1998
DIGITIZER LUMISYS LASER
SEQUENCE
LEFT_CC LINES 4792 PIXELS_PER_LINE 2648 BITS_PER_PIXEL 12 RESOLUTION 50 NON_OVERLAY
LEFT_MLO LINES 4752 PIXELS_PER_LINE 2512 BITS_PER_PIXEL 12 RESOLUTION 50 NON_OVERLAY
RIGHT_CC LINES 4752 PIXELS_PER_LINE 2728 BITS_PER_PIXEL 12 RESOLUTION 50 OVERLAY
RIGHT_MLO LINES 4728 PIXELS_PER_LINE 2696 BITS_PER_PIXEL 12 RESOLUTION 50 OVERLAY

FILE: C_0182_1.RIGHT_MLO.OVERLAY

TOTAL_ABNORMALITIES 1
ABNORMALITY 1
LESION_TYPE MASS SHAPE LOBULATED MARGINS CIRCUMSCRIBED
ASSESSMENT 5
SUBTLETY 5
PATHOLOGY MALIGNANT
TOTAL_OUTLINES 1 
BOUNDARY
FILE: C_0182_1.RIGHT_CC.OVERLAY

TOTAL_ABNORMALITIES 1
ABNORMALITY 1
LESION_TYPE MASS SHAPE LOBULATED MARGINS CIRCUMSCRIBED
ASSESSMENT 5
SUBTLETY 5
PATHOLOGY MALIGNANT
TOTAL_OUTLINES 1 
BOUNDARY