![]() |
![]() |
![]() |
![]() |
ics_version 1.0 filename C-0196-1 DATE_OF_STUDY 16 9 1996 PATIENT_AGE 83 FILM FILM_TYPE REGULAR DENSITY 2 DATE_DIGITIZED 26 3 1998 DIGITIZER LUMISYS LASER SEQUENCE LEFT_CC LINES 4728 PIXELS_PER_LINE 2536 BITS_PER_PIXEL 12 RESOLUTION 50 OVERLAY LEFT_MLO LINES 4736 PIXELS_PER_LINE 2712 BITS_PER_PIXEL 12 RESOLUTION 50 OVERLAY RIGHT_CC LINES 4616 PIXELS_PER_LINE 2824 BITS_PER_PIXEL 12 RESOLUTION 50 NON_OVERLAY RIGHT_MLO LINES 4672 PIXELS_PER_LINE 2712 BITS_PER_PIXEL 12 RESOLUTION 50 NON_OVERLAY |
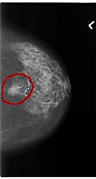
FILE: C_0196_1.LEFT_MLO.OVERLAY TOTAL_ABNORMALITIES 1 ABNORMALITY 1 LESION_TYPE MASS SHAPE OVAL MARGINS SPICULATED ASSESSMENT 5 SUBTLETY 5 PATHOLOGY MALIGNANT TOTAL_OUTLINES 1 BOUNDARY |
FILE: C_0196_1.LEFT_CC.OVERLAY TOTAL_ABNORMALITIES 1 ABNORMALITY 1 LESION_TYPE MASS SHAPE OVAL MARGINS SPICULATED ASSESSMENT 5 SUBTLETY 5 PATHOLOGY MALIGNANT TOTAL_OUTLINES 1 BOUNDARY |