Digital Database for Screening Mammography

Volume: cancer_05 Case: C-0214-1


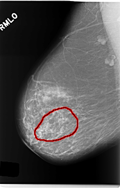
C_0214_1.RIGHT_MLO

C_0214_1.LEFT_MLO

C_0214_1.RIGHT_CC

C_0214_1.LEFT_CC

ics_version 1.0
filename C-0214-1
DATE_OF_STUDY 5 6 1997
PATIENT_AGE 56
FILM
FILM_TYPE REGULAR
DENSITY 2
DATE_DIGITIZED 31 3 1998
DIGITIZER LUMISYS LASER
SEQUENCE
LEFT_CC LINES 5928 PIXELS_PER_LINE 3544 BITS_PER_PIXEL 12 RESOLUTION 50 NON_OVERLAY
LEFT_MLO LINES 5904 PIXELS_PER_LINE 3608 BITS_PER_PIXEL 12 RESOLUTION 50 NON_OVERLAY
RIGHT_CC LINES 5888 PIXELS_PER_LINE 3624 BITS_PER_PIXEL 12 RESOLUTION 50 OVERLAY
RIGHT_MLO LINES 5912 PIXELS_PER_LINE 3776 BITS_PER_PIXEL 12 RESOLUTION 50 OVERLAY

FILE: C_0214_1.RIGHT_MLO.OVERLAY

TOTAL_ABNORMALITIES 1
ABNORMALITY 1
LESION_TYPE CALCIFICATION TYPE PLEOMORPHIC DISTRIBUTION SEGMENTAL
ASSESSMENT 4
SUBTLETY 4
PATHOLOGY MALIGNANT
TOTAL_OUTLINES 1 
BOUNDARY
FILE: C_0214_1.RIGHT_CC.OVERLAY

TOTAL_ABNORMALITIES 1
ABNORMALITY 1
LESION_TYPE CALCIFICATION TYPE PLEOMORPHIC DISTRIBUTION SEGMENTAL
ASSESSMENT 4
SUBTLETY 4
PATHOLOGY MALIGNANT
TOTAL_OUTLINES 1 
BOUNDARY