Digital Database for Screening Mammography

Volume: cancer_06 Case: A-1133-1


A_1133_1.LEFT_MLO

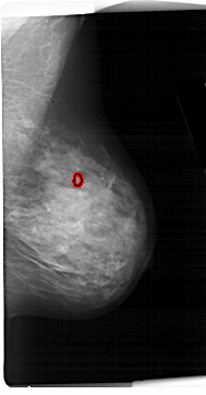
A_1133_1.RIGHT_MLO

A_1133_1.LEFT_CC

A_1133_1.RIGHT_CC

ics_version 1.0
filename A-1133-1
DATE_OF_STUDY 12 9 1991
PATIENT_AGE 48
FILM
FILM_TYPE REGULAR
DENSITY 4
DATE_DIGITIZED 10 6 1998
DIGITIZER HOWTEK 43.5
SEQUENCE
LEFT_CC LINES 6556 PIXELS_PER_LINE 3571 BITS_PER_PIXEL 12 RESOLUTION 43.5 NON_OVERLAY
LEFT_MLO LINES 6286 PIXELS_PER_LINE 4036 BITS_PER_PIXEL 12 RESOLUTION 43.5 NON_OVERLAY
RIGHT_CC LINES 6361 PIXELS_PER_LINE 3706 BITS_PER_PIXEL 12 RESOLUTION 43.5 OVERLAY
RIGHT_MLO LINES 6871 PIXELS_PER_LINE 3586 BITS_PER_PIXEL 12 RESOLUTION 43.5 OVERLAY

FILE: A_1133_1.RIGHT_MLO.OVERLAY

TOTAL_ABNORMALITIES 1
ABNORMALITY 1 
LESION_TYPE CALCIFICATION TYPE PLEOMORPHIC DISTRIBUTION CLUSTERED
ASSESSMENT 4 
SUBTLETY 1 
PATHOLOGY MALIGNANT
TOTAL_OUTLINES 1 
BOUNDARY
FILE: A_1133_1.RIGHT_CC.OVERLAY

TOTAL_ABNORMALITIES 1
ABNORMALITY 1 
LESION_TYPE CALCIFICATION TYPE PLEOMORPHIC DISTRIBUTION CLUSTERED
ASSESSMENT 4 
SUBTLETY 1 
PATHOLOGY MALIGNANT
TOTAL_OUTLINES 1 
BOUNDARY