Digital Database for Screening Mammography

Volume: cancer_07 Case: A-1213-1


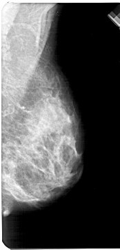
A_1213_1.LEFT_MLO

A_1213_1.RIGHT_MLO

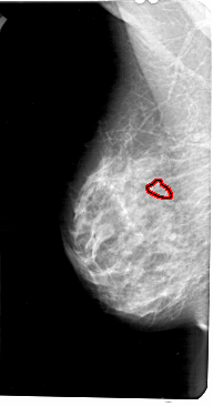
A_1213_1.LEFT_CC

A_1213_1.RIGHT_CC

ics_version 1.0
filename A-1213-1
DATE_OF_STUDY 11 10 1994
PATIENT_AGE 49
FILM
FILM_TYPE REGULAR
DENSITY 4
DATE_DIGITIZED 8 7 1998
DIGITIZER HOWTEK 43.5
SEQUENCE
LEFT_CC LINES 5176 PIXELS_PER_LINE 2671 BITS_PER_PIXEL 12 RESOLUTION 43.5 OVERLAY
LEFT_MLO LINES 5476 PIXELS_PER_LINE 2866 BITS_PER_PIXEL 12 RESOLUTION 43.5 OVERLAY
RIGHT_CC LINES 4711 PIXELS_PER_LINE 2536 BITS_PER_PIXEL 12 RESOLUTION 43.5 NON_OVERLAY
RIGHT_MLO LINES 5401 PIXELS_PER_LINE 2596 BITS_PER_PIXEL 12 RESOLUTION 43.5 NON_OVERLAY

FILE: A_1213_1.LEFT_MLO.OVERLAY

TOTAL_ABNORMALITIES 1
ABNORMALITY 1 
LESION_TYPE CALCIFICATION TYPE PLEOMORPHIC DISTRIBUTION CLUSTERED
ASSESSMENT 4 
SUBTLETY 4 
PATHOLOGY MALIGNANT
TOTAL_OUTLINES 1 
BOUNDARY
FILE: A_1213_1.LEFT_CC.OVERLAY

TOTAL_ABNORMALITIES 1
ABNORMALITY 1 
LESION_TYPE CALCIFICATION TYPE PLEOMORPHIC DISTRIBUTION CLUSTERED
ASSESSMENT 4 
SUBTLETY 4 
PATHOLOGY MALIGNANT
TOTAL_OUTLINES 1 
BOUNDARY