Digital Database for Screening Mammography

Volume: cancer_07 Case: A-1223-1


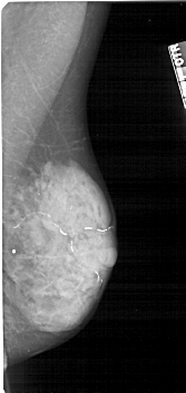
A_1223_1.LEFT_MLO

A_1223_1.RIGHT_MLO

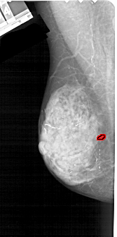
A_1223_1.LEFT_CC

A_1223_1.RIGHT_CC

ics_version 1.0
filename A-1223-1
DATE_OF_STUDY 22 9 1994
PATIENT_AGE 53
FILM
FILM_TYPE REGULAR
DENSITY 4
DATE_DIGITIZED 21 7 1998
DIGITIZER HOWTEK 43.5
SEQUENCE
LEFT_CC LINES 4921 PIXELS_PER_LINE 2551 BITS_PER_PIXEL 12 RESOLUTION 43.5 OVERLAY
LEFT_MLO LINES 5026 PIXELS_PER_LINE 2491 BITS_PER_PIXEL 12 RESOLUTION 43.5 OVERLAY
RIGHT_CC LINES 4726 PIXELS_PER_LINE 2416 BITS_PER_PIXEL 12 RESOLUTION 43.5 NON_OVERLAY
RIGHT_MLO LINES 5281 PIXELS_PER_LINE 2491 BITS_PER_PIXEL 12 RESOLUTION 43.5 NON_OVERLAY

FILE: A_1223_1.LEFT_MLO.OVERLAY

TOTAL_ABNORMALITIES 1
ABNORMALITY 1 
LESION_TYPE CALCIFICATION TYPE PLEOMORPHIC DISTRIBUTION CLUSTERED
ASSESSMENT 4 
SUBTLETY 4 
PATHOLOGY MALIGNANT
TOTAL_OUTLINES 1 
BOUNDARY
FILE: A_1223_1.LEFT_CC.OVERLAY

TOTAL_ABNORMALITIES 1
ABNORMALITY 1 
LESION_TYPE CALCIFICATION TYPE PLEOMORPHIC DISTRIBUTION CLUSTERED
ASSESSMENT 4 
SUBTLETY 4 
PATHOLOGY MALIGNANT
TOTAL_OUTLINES 1 
BOUNDARY