Digital Database for Screening Mammography

Volume: cancer_07 Case: A-1256-1


A_1256_1.LEFT_MLO

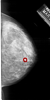
A_1256_1.RIGHT_MLO

A_1256_1.LEFT_CC

A_1256_1.RIGHT_CC

ics_version 1.0
filename A-1256-1
DATE_OF_STUDY 12 3 1996
PATIENT_AGE 39
FILM
FILM_TYPE REGULAR
DENSITY 4
DATE_DIGITIZED 22 7 1998
DIGITIZER HOWTEK 43.5
SEQUENCE
LEFT_CC LINES 5491 PIXELS_PER_LINE 2956 BITS_PER_PIXEL 12 RESOLUTION 43.5 NON_OVERLAY
LEFT_MLO LINES 5491 PIXELS_PER_LINE 2851 BITS_PER_PIXEL 12 RESOLUTION 43.5 NON_OVERLAY
RIGHT_CC LINES 5161 PIXELS_PER_LINE 2611 BITS_PER_PIXEL 12 RESOLUTION 43.5 OVERLAY
RIGHT_MLO LINES 5491 PIXELS_PER_LINE 2566 BITS_PER_PIXEL 12 RESOLUTION 43.5 OVERLAY

FILE: A_1256_1.RIGHT_MLO.OVERLAY

TOTAL_ABNORMALITIES 1
ABNORMALITY 1 
LESION_TYPE CALCIFICATION TYPE PLEOMORPHIC DISTRIBUTION CLUSTERED
ASSESSMENT 4 
SUBTLETY 3 
PATHOLOGY MALIGNANT
TOTAL_OUTLINES 1 
BOUNDARY
FILE: A_1256_1.RIGHT_CC.OVERLAY

TOTAL_ABNORMALITIES 1
ABNORMALITY 1 
LESION_TYPE CALCIFICATION TYPE PLEOMORPHIC DISTRIBUTION CLUSTERED
ASSESSMENT 4 
SUBTLETY 3 
PATHOLOGY MALIGNANT
TOTAL_OUTLINES 1 
BOUNDARY