Digital Database for Screening Mammography

Volume: cancer_08 Case: A-1532-1


A_1532_1.LEFT_MLO

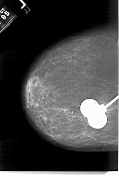
A_1532_1.RIGHT_MLO

A_1532_1.LEFT_CC

A_1532_1.RIGHT_CC

ics_version 1.0
filename A-1532-1
DATE_OF_STUDY 1 6 1995
PATIENT_AGE 76
FILM
FILM_TYPE REGULAR
DENSITY 2
DATE_DIGITIZED 21 9 1998
DIGITIZER HOWTEK 43.5
SEQUENCE
LEFT_CC LINES 6541 PIXELS_PER_LINE 4441 BITS_PER_PIXEL 12 RESOLUTION 43.5 NON_OVERLAY
LEFT_MLO LINES 5911 PIXELS_PER_LINE 4501 BITS_PER_PIXEL 12 RESOLUTION 43.5 NON_OVERLAY
RIGHT_CC LINES 6676 PIXELS_PER_LINE 4426 BITS_PER_PIXEL 12 RESOLUTION 43.5 OVERLAY
RIGHT_MLO LINES 5776 PIXELS_PER_LINE 4921 BITS_PER_PIXEL 12 RESOLUTION 43.5 OVERLAY

FILE: A_1532_1.RIGHT_MLO.OVERLAY

TOTAL_ABNORMALITIES 1
ABNORMALITY 1 
LESION_TYPE MASS SHAPE OVAL MARGINS ILL_DEFINED
ASSESSMENT 4 
SUBTLETY 3 
PATHOLOGY MALIGNANT
TOTAL_OUTLINES 1 
BOUNDARY
FILE: A_1532_1.RIGHT_CC.OVERLAY

TOTAL_ABNORMALITIES 1
ABNORMALITY 1 
LESION_TYPE MASS SHAPE OVAL MARGINS ILL_DEFINED
ASSESSMENT 4 
SUBTLETY 3 
PATHOLOGY MALIGNANT
TOTAL_OUTLINES 1 
BOUNDARY