Digital Database for Screening Mammography

Volume: cancer_09 Case: C-0049-1


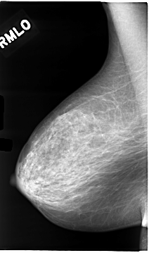
C_0049_1.RIGHT_MLO

C_0049_1.LEFT_MLO

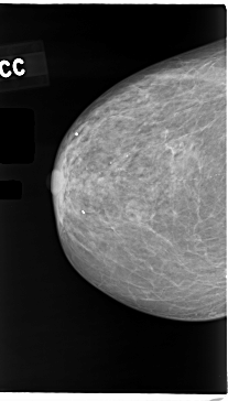
C_0049_1.RIGHT_CC

C_0049_1.LEFT_CC

ics_version 1.0
filename C-0049-1
DATE_OF_STUDY 24 8 1993
PATIENT_AGE 86
FILM
FILM_TYPE REGULAR
DENSITY 2
DATE_DIGITIZED 6 11 1997
DIGITIZER LUMISYS LASER
SEQUENCE
LEFT_CC LINES 4696 PIXELS_PER_LINE 2504 BITS_PER_PIXEL 12 RESOLUTION 50 OVERLAY
LEFT_MLO LINES 4640 PIXELS_PER_LINE 2872 BITS_PER_PIXEL 12 RESOLUTION 50 OVERLAY
RIGHT_CC LINES 4728 PIXELS_PER_LINE 2680 BITS_PER_PIXEL 12 RESOLUTION 50 NON_OVERLAY
RIGHT_MLO LINES 4664 PIXELS_PER_LINE 2744 BITS_PER_PIXEL 12 RESOLUTION 50 NON_OVERLAY

FILE: C_0049_1.LEFT_MLO.OVERLAY

TOTAL_ABNORMALITIES 1
ABNORMALITY 1
LESION_TYPE MASS SHAPE IRREGULAR MARGINS SPICULATED
ASSESSMENT 5
SUBTLETY 5
PATHOLOGY MALIGNANT
TOTAL_OUTLINES 1 
BOUNDARY
FILE: C_0049_1.LEFT_CC.OVERLAY

TOTAL_ABNORMALITIES 1
ABNORMALITY 1
LESION_TYPE MASS SHAPE IRREGULAR MARGINS SPICULATED
ASSESSMENT 5
SUBTLETY 5
PATHOLOGY MALIGNANT
TOTAL_OUTLINES 1 
BOUNDARY