Digital Database for Screening Mammography

Volume: cancer_09 Case: C-0195-1


C_0195_1.RIGHT_MLO

C_0195_1.LEFT_MLO

C_0195_1.RIGHT_CC

C_0195_1.LEFT_CC

ics_version 1.0
filename C-0195-1
DATE_OF_STUDY 16 5 1996
PATIENT_AGE 69
FILM
FILM_TYPE REGULAR
DENSITY 2
DATE_DIGITIZED 26 3 1998
DIGITIZER LUMISYS LASER
SEQUENCE
LEFT_CC LINES 4784 PIXELS_PER_LINE 2312 BITS_PER_PIXEL 12 RESOLUTION 50 NON_OVERLAY
LEFT_MLO LINES 4736 PIXELS_PER_LINE 2616 BITS_PER_PIXEL 12 RESOLUTION 50 NON_OVERLAY
RIGHT_CC LINES 4736 PIXELS_PER_LINE 2664 BITS_PER_PIXEL 12 RESOLUTION 50 OVERLAY
RIGHT_MLO LINES 4648 PIXELS_PER_LINE 2936 BITS_PER_PIXEL 12 RESOLUTION 50 OVERLAY

FILE: C_0195_1.RIGHT_MLO.OVERLAY

TOTAL_ABNORMALITIES 2
ABNORMALITY 1
LESION_TYPE MASS SHAPE ROUND MARGINS CIRCUMSCRIBED
ASSESSMENT 5
SUBTLETY 5
PATHOLOGY MALIGNANT
TOTAL_OUTLINES 1 
BOUNDARY
ABNORMALITY 2
LESION_TYPE MASS SHAPE OVAL MARGINS ILL_DEFINED
ASSESSMENT 5
SUBTLETY 5
PATHOLOGY MALIGNANT
TOTAL_OUTLINES 1 
BOUNDARY
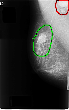
FILE: C_0195_1.RIGHT_CC.OVERLAY

TOTAL_ABNORMALITIES 1
ABNORMALITY 1
LESION_TYPE MASS SHAPE ROUND MARGINS ILL_DEFINED
ASSESSMENT 5
SUBTLETY 5
PATHOLOGY MALIGNANT
TOTAL_OUTLINES 1 
BOUNDARY