![]() |
![]() |
![]() |
![]() |
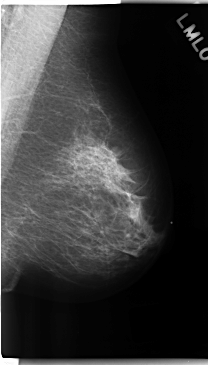
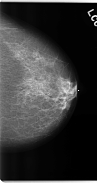
ics_version 1.0 filename C-0225-1 DATE_OF_STUDY 19 3 1997 PATIENT_AGE 55 FILM FILM_TYPE REGULAR DENSITY 2 DATE_DIGITIZED 14 4 1998 DIGITIZER LUMISYS LASER SEQUENCE LEFT_CC LINES 4744 PIXELS_PER_LINE 2512 BITS_PER_PIXEL 12 RESOLUTION 50 NON_OVERLAY LEFT_MLO LINES 4744 PIXELS_PER_LINE 2696 BITS_PER_PIXEL 12 RESOLUTION 50 NON_OVERLAY RIGHT_CC LINES 4736 PIXELS_PER_LINE 2728 BITS_PER_PIXEL 12 RESOLUTION 50 OVERLAY RIGHT_MLO LINES 4736 PIXELS_PER_LINE 2712 BITS_PER_PIXEL 12 RESOLUTION 50 OVERLAY |
FILE: C_0225_1.RIGHT_MLO.OVERLAY TOTAL_ABNORMALITIES 1 ABNORMALITY 1 LESION_TYPE MASS SHAPE OVAL MARGINS SPICULATED ASSESSMENT 5 SUBTLETY 5 PATHOLOGY MALIGNANT TOTAL_OUTLINES 1 BOUNDARY |
FILE: C_0225_1.RIGHT_CC.OVERLAY TOTAL_ABNORMALITIES 1 ABNORMALITY 1 LESION_TYPE MASS SHAPE OVAL MARGINS SPICULATED ASSESSMENT 5 SUBTLETY 5 PATHOLOGY MALIGNANT TOTAL_OUTLINES 1 BOUNDARY |