Digital Database for Screening Mammography

Volume: cancer_09 Case: C-0340-1


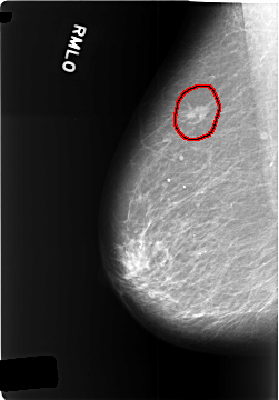
C_0340_1.RIGHT_MLO

C_0340_1.LEFT_MLO

C_0340_1.RIGHT_CC

C_0340_1.LEFT_CC

ics_version 1.0
filename C-0340-1
DATE_OF_STUDY 12 3 1997
PATIENT_AGE 76
FILM
FILM_TYPE REGULAR
DENSITY 1
DATE_DIGITIZED 18 12 1998
DIGITIZER LUMISYS LASER
SEQUENCE
LEFT_CC LINES 5728 PIXELS_PER_LINE 3376 BITS_PER_PIXEL 12 RESOLUTION 50 OVERLAY
LEFT_MLO LINES 5744 PIXELS_PER_LINE 4032 BITS_PER_PIXEL 12 RESOLUTION 50 NON_OVERLAY
RIGHT_CC LINES 5768 PIXELS_PER_LINE 4040 BITS_PER_PIXEL 12 RESOLUTION 50 OVERLAY
RIGHT_MLO LINES 5752 PIXELS_PER_LINE 4016 BITS_PER_PIXEL 12 RESOLUTION 50 OVERLAY

FILE: C_0340_1.RIGHT_MLO.OVERLAY

TOTAL_ABNORMALITIES 1
ABNORMALITY 1
LESION_TYPE MASS SHAPE OVAL MARGINS SPICULATED
ASSESSMENT 5
SUBTLETY 5
PATHOLOGY MALIGNANT
TOTAL_OUTLINES 1 
BOUNDARY
FILE: C_0340_1.LEFT_CC.OVERLAY

TOTAL_ABNORMALITIES 1
ABNORMALITY 1
LESION_TYPE MASS SHAPE ARCHITECTURAL_DISTORTION MARGINS SPICULATED
ASSESSMENT 4
SUBTLETY 5
PATHOLOGY BENIGN_WITHOUT_CALLBACK
TOTAL_OUTLINES 1 
BOUNDARY
FILE: C_0340_1.RIGHT_CC.OVERLAY

TOTAL_ABNORMALITIES 1
ABNORMALITY 1
LESION_TYPE MASS SHAPE IRREGULAR MARGINS SPICULATED
ASSESSMENT 5
SUBTLETY 5
PATHOLOGY MALIGNANT
TOTAL_OUTLINES 1 
BOUNDARY