Digital Database for Screening Mammography

Volume: cancer_09 Case: B-3407-1


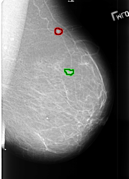
B_3407_1.RIGHT_MLO

B_3407_1.LEFT_MLO

B_3407_1.RIGHT_CC

B_3407_1.LEFT_CC

ics_version 1.0
filename B-3407-1
DATE_OF_STUDY 25 8 1994
PATIENT_AGE 71
FILM
FILM_TYPE REGULAR
DENSITY 1
DATE_DIGITIZED 3 12 1998
DIGITIZER LUMISYS LASER
SEQUENCE
LEFT_CC LINES 4640 PIXELS_PER_LINE 3280 BITS_PER_PIXEL 12 RESOLUTION 50 OVERLAY
LEFT_MLO LINES 4568 PIXELS_PER_LINE 3296 BITS_PER_PIXEL 12 RESOLUTION 50 OVERLAY
RIGHT_CC LINES 4704 PIXELS_PER_LINE 3312 BITS_PER_PIXEL 12 RESOLUTION 50 OVERLAY
RIGHT_MLO LINES 4544 PIXELS_PER_LINE 3304 BITS_PER_PIXEL 12 RESOLUTION 50 OVERLAY

FILE: B_3407_1.LEFT_MLO.OVERLAY

TOTAL_ABNORMALITIES 2
ABNORMALITY 1
LESION_TYPE MASS SHAPE LYMPH_NODE MARGINS CIRCUMSCRIBED
ASSESSMENT 3
SUBTLETY 2
PATHOLOGY BENIGN_WITHOUT_CALLBACK
TOTAL_OUTLINES 1 
BOUNDARY
ABNORMALITY 2
LESION_TYPE MASS SHAPE LYMPH_NODE MARGINS CIRCUMSCRIBED
ASSESSMENT 3
SUBTLETY 2
PATHOLOGY BENIGN_WITHOUT_CALLBACK
TOTAL_OUTLINES 1 
BOUNDARY
FILE: B_3407_1.RIGHT_MLO.OVERLAY

TOTAL_ABNORMALITIES 1
ABNORMALITY 1
LESION_TYPE MASS SHAPE IRREGULAR-ARCHITECTURAL_DISTORTION MARGINS ILL_DEFINED-SPICULATED
ASSESSMENT 4
SUBTLETY 4
PATHOLOGY MALIGNANT
TOTAL_OUTLINES 1 
BOUNDARY
FILE: B_3407_1.LEFT_CC.OVERLAY

TOTAL_ABNORMALITIES 2
ABNORMALITY 1
LESION_TYPE MASS SHAPE LYMPH_NODE MARGINS CIRCUMSCRIBED
ASSESSMENT 3
SUBTLETY 2
PATHOLOGY BENIGN_WITHOUT_CALLBACK
TOTAL_OUTLINES 1 
BOUNDARY
ABNORMALITY 2
LESION_TYPE MASS SHAPE LYMPH_NODE MARGINS CIRCUMSCRIBED
ASSESSMENT 3
SUBTLETY 2
PATHOLOGY BENIGN_WITHOUT_CALLBACK
TOTAL_OUTLINES 1 
BOUNDARY
FILE: B_3407_1.RIGHT_CC.OVERLAY

TOTAL_ABNORMALITIES 1
ABNORMALITY 1
LESION_TYPE MASS SHAPE IRREGULAR-ARCHITECTURAL_DISTORTION MARGINS ILL_DEFINED-SPICULATED
ASSESSMENT 4
SUBTLETY 4
PATHOLOGY MALIGNANT
TOTAL_OUTLINES 1 
BOUNDARY