Digital Database for Screening Mammography

Volume: cancer_09 Case: B-3411-1


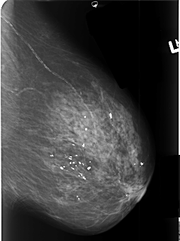
B_3411_1.RIGHT_MLO

B_3411_1.LEFT_MLO

B_3411_1.RIGHT_CC

B_3411_1.LEFT_CC

ics_version 1.0
filename B-3411-1
DATE_OF_STUDY 14 11 1995
PATIENT_AGE 88
FILM
FILM_TYPE REGULAR
DENSITY 2
DATE_DIGITIZED 30 12 1998
DIGITIZER LUMISYS LASER
SEQUENCE
LEFT_CC LINES 4488 PIXELS_PER_LINE 3184 BITS_PER_PIXEL 12 RESOLUTION 50 NON_OVERLAY
LEFT_MLO LINES 4464 PIXELS_PER_LINE 3344 BITS_PER_PIXEL 12 RESOLUTION 50 NON_OVERLAY
RIGHT_CC LINES 4464 PIXELS_PER_LINE 3320 BITS_PER_PIXEL 12 RESOLUTION 50 OVERLAY
RIGHT_MLO LINES 4624 PIXELS_PER_LINE 3272 BITS_PER_PIXEL 12 RESOLUTION 50 OVERLAY

FILE: B_3411_1.RIGHT_MLO.OVERLAY

TOTAL_ABNORMALITIES 1
ABNORMALITY 1
LESION_TYPE CALCIFICATION TYPE N/A DISTRIBUTION LINEAR
LESION_TYPE MASS SHAPE IRREGULAR MARGINS ILL_DEFINED-SPICULATED
ASSESSMENT 5
SUBTLETY 5
PATHOLOGY MALIGNANT
TOTAL_OUTLINES 1 
BOUNDARY
FILE: B_3411_1.RIGHT_CC.OVERLAY

TOTAL_ABNORMALITIES 1
ABNORMALITY 1
LESION_TYPE CALCIFICATION TYPE N/A DISTRIBUTION LINEAR
LESION_TYPE MASS SHAPE IRREGULAR MARGINS ILL_DEFINED-SPICULATED
ASSESSMENT 5
SUBTLETY 5
PATHOLOGY MALIGNANT
TOTAL_OUTLINES 1 
BOUNDARY