Digital Database for Screening Mammography

Volume: HtmlThumbnail Case: A-1628-1


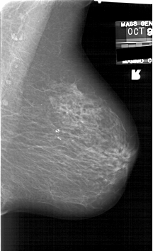
A_1628_1.LEFT_MLO

A_1628_1.RIGHT_MLO

A_1628_1.LEFT_CC

A_1628_1.RIGHT_CC

ics_version 1.0
filename A-1628-1
DATE_OF_STUDY 24 10 1996
PATIENT_AGE 75
FILM
FILM_TYPE REGULAR
DENSITY 2
DATE_DIGITIZED 29 1 1999
DIGITIZER HOWTEK 43.5
SEQUENCE
LEFT_CC LINES 6451 PIXELS_PER_LINE 3541 BITS_PER_PIXEL 12 RESOLUTION 43.5 OVERLAY
LEFT_MLO LINES 6466 PIXELS_PER_LINE 3871 BITS_PER_PIXEL 12 RESOLUTION 43.5 OVERLAY
RIGHT_CC LINES 6316 PIXELS_PER_LINE 3421 BITS_PER_PIXEL 12 RESOLUTION 43.5 NON_OVERLAY
RIGHT_MLO LINES 6361 PIXELS_PER_LINE 3871 BITS_PER_PIXEL 12 RESOLUTION 43.5 NON_OVERLAY

FILE: A_1628_1.LEFT_MLO.OVERLAY

TOTAL_ABNORMALITIES 1
ABNORMALITY 1 
LESION_TYPE MASS SHAPE ARCHITECTURAL_DISTORTION MARGINS SPICULATED
ASSESSMENT 5 
SUBTLETY 5 
PATHOLOGY MALIGNANT
TOTAL_OUTLINES 2 
BOUNDARY
	CORE
FILE: A_1628_1.LEFT_CC.OVERLAY

TOTAL_ABNORMALITIES 1
ABNORMALITY 1 
LESION_TYPE MASS SHAPE ARCHITECTURAL_DISTORTION MARGINS SPICULATED
ASSESSMENT 5 
SUBTLETY 5 
PATHOLOGY MALIGNANT
TOTAL_OUTLINES 2 
BOUNDARY
	CORE