Digital Database for Screening Mammography

Volume: HtmlThumbnail Case: A-1668-1


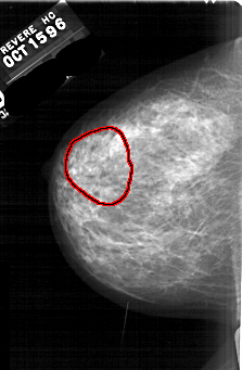
A_1668_1.LEFT_MLO

A_1668_1.RIGHT_MLO

A_1668_1.LEFT_CC

A_1668_1.RIGHT_CC

ics_version 1.0
filename A-1668-1
DATE_OF_STUDY 15 10 1996
PATIENT_AGE 49
FILM
FILM_TYPE REGULAR
DENSITY 3
DATE_DIGITIZED 4 2 1999
DIGITIZER HOWTEK 43.5
SEQUENCE
LEFT_CC LINES 5791 PIXELS_PER_LINE 3781 BITS_PER_PIXEL 12 RESOLUTION 43.5 OVERLAY
LEFT_MLO LINES 6061 PIXELS_PER_LINE 3991 BITS_PER_PIXEL 12 RESOLUTION 43.5 OVERLAY
RIGHT_CC LINES 6151 PIXELS_PER_LINE 3916 BITS_PER_PIXEL 12 RESOLUTION 43.5 NON_OVERLAY
RIGHT_MLO LINES 5866 PIXELS_PER_LINE 3736 BITS_PER_PIXEL 12 RESOLUTION 43.5 NON_OVERLAY

FILE: A_1668_1.LEFT_MLO.OVERLAY

TOTAL_ABNORMALITIES 1
ABNORMALITY 1 
LESION_TYPE CALCIFICATION TYPE PLEOMORPHIC DISTRIBUTION SEGMENTAL
ASSESSMENT 4 
SUBTLETY 3 
PATHOLOGY MALIGNANT
TOTAL_OUTLINES 1 
BOUNDARY
FILE: A_1668_1.LEFT_CC.OVERLAY

TOTAL_ABNORMALITIES 1
ABNORMALITY 1 
LESION_TYPE CALCIFICATION TYPE PLEOMORPHIC DISTRIBUTION SEGMENTAL
ASSESSMENT 4 
SUBTLETY 3 
PATHOLOGY MALIGNANT
TOTAL_OUTLINES 1 
BOUNDARY