Digital Database for Screening Mammography

Volume: cancer_11 Case: A-1657-1


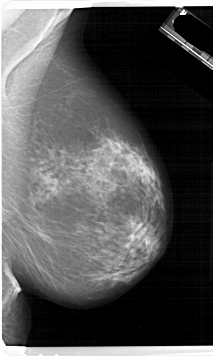
A_1657_1.LEFT_MLO

A_1657_1.RIGHT_MLO

A_1657_1.LEFT_CC

A_1657_1.RIGHT_CC

ics_version 1.0
filename A-1657-1
DATE_OF_STUDY 26 6 1996
PATIENT_AGE 86
FILM
FILM_TYPE REGULAR
DENSITY 3
DATE_DIGITIZED 9 11 1998
DIGITIZER HOWTEK 43.5
SEQUENCE
LEFT_CC LINES 6691 PIXELS_PER_LINE 3856 BITS_PER_PIXEL 12 RESOLUTION 43.5 OVERLAY
LEFT_MLO LINES 6721 PIXELS_PER_LINE 4246 BITS_PER_PIXEL 12 RESOLUTION 43.5 OVERLAY
RIGHT_CC LINES 6556 PIXELS_PER_LINE 3556 BITS_PER_PIXEL 12 RESOLUTION 43.5 NON_OVERLAY
RIGHT_MLO LINES 6871 PIXELS_PER_LINE 4036 BITS_PER_PIXEL 12 RESOLUTION 43.5 NON_OVERLAY

FILE: A_1657_1.LEFT_MLO.OVERLAY

TOTAL_ABNORMALITIES 1
ABNORMALITY 1 
LESION_TYPE MASS SHAPE LOBULATED MARGINS OBSCURED
ASSESSMENT 4 
SUBTLETY 3 
PATHOLOGY MALIGNANT
TOTAL_OUTLINES 1 
BOUNDARY
FILE: A_1657_1.LEFT_CC.OVERLAY

TOTAL_ABNORMALITIES 1
ABNORMALITY 1 
LESION_TYPE MASS SHAPE LOBULATED MARGINS OBSCURED
ASSESSMENT 4 
SUBTLETY 3 
PATHOLOGY MALIGNANT
TOTAL_OUTLINES 1 
BOUNDARY