Digital Database for Screening Mammography

Volume: cancer_11 Case: A-1722-1


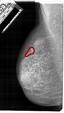
A_1722_1.LEFT_MLO

A_1722_1.RIGHT_MLO

A_1722_1.LEFT_CC

A_1722_1.RIGHT_CC

ics_version 1.0
filename A-1722-1
DATE_OF_STUDY 27 10 1995
PATIENT_AGE 77
FILM
FILM_TYPE REGULAR
DENSITY 3
DATE_DIGITIZED 11 3 1999
DIGITIZER HOWTEK 43.5
SEQUENCE
LEFT_CC LINES 5071 PIXELS_PER_LINE 2626 BITS_PER_PIXEL 12 RESOLUTION 43.5 OVERLAY
LEFT_MLO LINES 5491 PIXELS_PER_LINE 3091 BITS_PER_PIXEL 12 RESOLUTION 43.5 OVERLAY
RIGHT_CC LINES 5281 PIXELS_PER_LINE 2686 BITS_PER_PIXEL 12 RESOLUTION 43.5 NON_OVERLAY
RIGHT_MLO LINES 5491 PIXELS_PER_LINE 3031 BITS_PER_PIXEL 12 RESOLUTION 43.5 NON_OVERLAY

FILE: A_1722_1.LEFT_MLO.OVERLAY

TOTAL_ABNORMALITIES 1
ABNORMALITY 1 
LESION_TYPE CALCIFICATION TYPE PLEOMORPHIC DISTRIBUTION SEGMENTAL
ASSESSMENT 4 
SUBTLETY 2 
PATHOLOGY MALIGNANT
TOTAL_OUTLINES 1 
BOUNDARY
FILE: A_1722_1.LEFT_CC.OVERLAY

TOTAL_ABNORMALITIES 1
ABNORMALITY 1 
LESION_TYPE CALCIFICATION TYPE PLEOMORPHIC DISTRIBUTION SEGMENTAL
ASSESSMENT 4 
SUBTLETY 2 
PATHOLOGY MALIGNANT
TOTAL_OUTLINES 1 
BOUNDARY