Digital Database for Screening Mammography

Volume: cancer_11 Case: A-1824-1


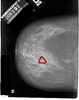
A_1824_1.LEFT_MLO

A_1824_1.RIGHT_MLO

A_1824_1.LEFT_CC

A_1824_1.RIGHT_CC

ics_version 1.0
filename A-1824-1
DATE_OF_STUDY 3 6 1992
PATIENT_AGE 69
FILM
FILM_TYPE REGULAR
DENSITY 4
DATE_DIGITIZED 15 7 1998
DIGITIZER HOWTEK 43.5
SEQUENCE
LEFT_CC LINES 5266 PIXELS_PER_LINE 4126 BITS_PER_PIXEL 12 RESOLUTION 43.5 OVERLAY
LEFT_MLO LINES 5281 PIXELS_PER_LINE 3961 BITS_PER_PIXEL 12 RESOLUTION 43.5 OVERLAY
RIGHT_CC LINES 5491 PIXELS_PER_LINE 4036 BITS_PER_PIXEL 12 RESOLUTION 43.5 NON_OVERLAY
RIGHT_MLO LINES 5491 PIXELS_PER_LINE 4126 BITS_PER_PIXEL 12 RESOLUTION 43.5 NON_OVERLAY

FILE: A_1824_1.LEFT_MLO.OVERLAY

TOTAL_ABNORMALITIES 1
ABNORMALITY 1 
LESION_TYPE CALCIFICATION TYPE PLEOMORPHIC DISTRIBUTION SEGMENTAL
ASSESSMENT 4 
SUBTLETY 3 
PATHOLOGY MALIGNANT
TOTAL_OUTLINES 1 
BOUNDARY
FILE: A_1824_1.LEFT_CC.OVERLAY

TOTAL_ABNORMALITIES 1
ABNORMALITY 1 
LESION_TYPE CALCIFICATION TYPE PLEOMORPHIC DISTRIBUTION SEGMENTAL
ASSESSMENT 4 
SUBTLETY 3 
PATHOLOGY MALIGNANT
TOTAL_OUTLINES 1 
BOUNDARY