Digital Database for Screening Mammography

Volume: cancer_12 Case: D-4118-1


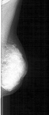
D_4118_1.RIGHT_MLO

D_4118_1.LEFT_MLO

D_4118_1.RIGHT_CC

D_4118_1.LEFT_CC

ics_version 1.0
filename D-4118-1
DATE_OF_STUDY 23 6 1992
PATIENT_AGE 48
FILM
FILM_TYPE REGULAR
DENSITY 4
DATE_DIGITIZED 27 5 1999
DIGITIZER HOWTEK 43.5
SEQUENCE
LEFT_CC LINES 5206 PIXELS_PER_LINE 1996 BITS_PER_PIXEL 12 RESOLUTION 43.5 NON_OVERLAY
LEFT_MLO LINES 5146 PIXELS_PER_LINE 2206 BITS_PER_PIXEL 12 RESOLUTION 43.5 NON_OVERLAY
RIGHT_CC LINES 5206 PIXELS_PER_LINE 2311 BITS_PER_PIXEL 12 RESOLUTION 43.5 OVERLAY
RIGHT_MLO LINES 5161 PIXELS_PER_LINE 2041 BITS_PER_PIXEL 12 RESOLUTION 43.5 OVERLAY

FILE: D_4118_1.RIGHT_MLO.OVERLAY

TOTAL_ABNORMALITIES 1
ABNORMALITY 1 
LESION_TYPE CALCIFICATION TYPE PLEOMORPHIC DISTRIBUTION SEGMENTAL
ASSESSMENT 5 
SUBTLETY 5 
PATHOLOGY MALIGNANT
TOTAL_OUTLINES 1 
BOUNDARY
FILE: D_4118_1.RIGHT_CC.OVERLAY

TOTAL_ABNORMALITIES 1
ABNORMALITY 1 
LESION_TYPE CALCIFICATION TYPE PLEOMORPHIC DISTRIBUTION SEGMENTAL
ASSESSMENT 5 
SUBTLETY 5 
PATHOLOGY MALIGNANT
TOTAL_OUTLINES 1 
BOUNDARY