Digital Database for Screening Mammography

Volume: cancer_12 Case: D-4192-1


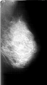
D_4192_1.RIGHT_MLO

D_4192_1.LEFT_MLO

D_4192_1.RIGHT_CC

D_4192_1.LEFT_CC

ics_version 1.0
filename D-4192-1
DATE_OF_STUDY 21 10 1997
PATIENT_AGE 40
FILM
FILM_TYPE REGULAR
DENSITY 4
DATE_DIGITIZED 4 6 1999
DIGITIZER HOWTEK 43.5
SEQUENCE
LEFT_CC LINES 5866 PIXELS_PER_LINE 3031 BITS_PER_PIXEL 12 RESOLUTION 43.5 NON_OVERLAY
LEFT_MLO LINES 5896 PIXELS_PER_LINE 3286 BITS_PER_PIXEL 12 RESOLUTION 43.5 NON_OVERLAY
RIGHT_CC LINES 5986 PIXELS_PER_LINE 3076 BITS_PER_PIXEL 12 RESOLUTION 43.5 OVERLAY
RIGHT_MLO LINES 5971 PIXELS_PER_LINE 3346 BITS_PER_PIXEL 12 RESOLUTION 43.5 OVERLAY

FILE: D_4192_1.RIGHT_MLO.OVERLAY

TOTAL_ABNORMALITIES 1
ABNORMALITY 1 
LESION_TYPE CALCIFICATION TYPE AMORPHOUS-PLEOMORPHIC DISTRIBUTION REGIONAL
ASSESSMENT 5 
SUBTLETY 5 
PATHOLOGY MALIGNANT
TOTAL_OUTLINES 1 
BOUNDARY
FILE: D_4192_1.RIGHT_CC.OVERLAY

TOTAL_ABNORMALITIES 1
ABNORMALITY 1 
LESION_TYPE CALCIFICATION TYPE AMORPHOUS-PLEOMORPHIC DISTRIBUTION REGIONAL
ASSESSMENT 5 
SUBTLETY 5 
PATHOLOGY MALIGNANT
TOTAL_OUTLINES 1 
BOUNDARY