Digital Database for Screening Mammography

Volume: cancer_14 Case: A-1849-1


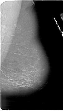
A_1849_1.LEFT_MLO

A_1849_1.RIGHT_MLO

A_1849_1.LEFT_CC

A_1849_1.RIGHT_CC

ics_version 1.0
filename A-1849-1
DATE_OF_STUDY 31 8 1998
PATIENT_AGE 75
FILM
FILM_TYPE REGULAR
DENSITY 2
DATE_DIGITIZED 17 5 1999
DIGITIZER HOWTEK 43.5
SEQUENCE
LEFT_CC LINES 6871 PIXELS_PER_LINE 3466 BITS_PER_PIXEL 12 RESOLUTION 43.5 OVERLAY
LEFT_MLO LINES 6871 PIXELS_PER_LINE 3706 BITS_PER_PIXEL 12 RESOLUTION 43.5 OVERLAY
RIGHT_CC LINES 6646 PIXELS_PER_LINE 3706 BITS_PER_PIXEL 12 RESOLUTION 43.5 NON_OVERLAY
RIGHT_MLO LINES 6796 PIXELS_PER_LINE 3826 BITS_PER_PIXEL 12 RESOLUTION 43.5 NON_OVERLAY

FILE: A_1849_1.LEFT_MLO.OVERLAY

TOTAL_ABNORMALITIES 1
ABNORMALITY 1 
LESION_TYPE MASS SHAPE OVAL MARGINS CIRCUMSCRIBED
ASSESSMENT 4 
SUBTLETY 3 
PATHOLOGY MALIGNANT
TOTAL_OUTLINES 1 
BOUNDARY
FILE: A_1849_1.LEFT_CC.OVERLAY

TOTAL_ABNORMALITIES 1
ABNORMALITY 1 
LESION_TYPE MASS SHAPE OVAL MARGINS CIRCUMSCRIBED
ASSESSMENT 4 
SUBTLETY 3 
PATHOLOGY MALIGNANT
TOTAL_OUTLINES 1 
BOUNDARY