Digital Database for Screening Mammography

Volume: cancer_14 Case: A-1899-1


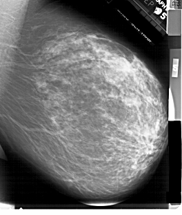
A_1899_1.LEFT_MLO

A_1899_1.RIGHT_MLO

A_1899_1.LEFT_CC

A_1899_1.RIGHT_CC

ics_version 1.0
filename A-1899-1
DATE_OF_STUDY 25 9 1995
PATIENT_AGE 43
FILM
FILM_TYPE REGULAR
DENSITY 3
DATE_DIGITIZED 6 1 1999
DIGITIZER HOWTEK 43.5
SEQUENCE
LEFT_CC LINES 6091 PIXELS_PER_LINE 5491 BITS_PER_PIXEL 12 RESOLUTION 43.5 OVERLAY
LEFT_MLO LINES 6871 PIXELS_PER_LINE 5431 BITS_PER_PIXEL 12 RESOLUTION 43.5 OVERLAY
RIGHT_CC LINES 6106 PIXELS_PER_LINE 5326 BITS_PER_PIXEL 12 RESOLUTION 43.5 NON_OVERLAY
RIGHT_MLO LINES 5911 PIXELS_PER_LINE 5011 BITS_PER_PIXEL 12 RESOLUTION 43.5 NON_OVERLAY

FILE: A_1899_1.LEFT_MLO.OVERLAY

TOTAL_ABNORMALITIES 1
ABNORMALITY 1 
LESION_TYPE MASS SHAPE IRREGULAR MARGINS SPICULATED
ASSESSMENT 5 
SUBTLETY 4 
PATHOLOGY MALIGNANT
TOTAL_OUTLINES 2 
BOUNDARY
	CORE
FILE: A_1899_1.LEFT_CC.OVERLAY

TOTAL_ABNORMALITIES 1
ABNORMALITY 1 
LESION_TYPE MASS SHAPE IRREGULAR MARGINS SPICULATED
ASSESSMENT 5 
SUBTLETY 4 
PATHOLOGY MALIGNANT
TOTAL_OUTLINES 2 
BOUNDARY
	CORE