Digital Database for Screening Mammography

Volume: cancer_14 Case: A-2000-1


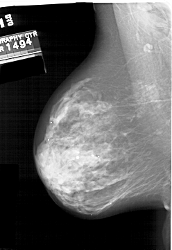
A_2000_1.LEFT_MLO

A_2000_1.RIGHT_MLO

A_2000_1.LEFT_CC

A_2000_1.RIGHT_CC

ics_version 1.0
filename A-2000-1
DATE_OF_STUDY 14 4 1994
PATIENT_AGE 70
FILM
FILM_TYPE REGULAR
DENSITY 4
DATE_DIGITIZED 9 7 1998
DIGITIZER HOWTEK 43.5
SEQUENCE
LEFT_CC LINES 5971 PIXELS_PER_LINE 3916 BITS_PER_PIXEL 12 RESOLUTION 43.5 NON_OVERLAY
LEFT_MLO LINES 6121 PIXELS_PER_LINE 4216 BITS_PER_PIXEL 12 RESOLUTION 43.5 NON_OVERLAY
RIGHT_CC LINES 5851 PIXELS_PER_LINE 3826 BITS_PER_PIXEL 12 RESOLUTION 43.5 OVERLAY
RIGHT_MLO LINES 5896 PIXELS_PER_LINE 3961 BITS_PER_PIXEL 12 RESOLUTION 43.5 OVERLAY

FILE: A_2000_1.RIGHT_MLO.OVERLAY

TOTAL_ABNORMALITIES 1
ABNORMALITY 1 
LESION_TYPE CALCIFICATION TYPE PLEOMORPHIC DISTRIBUTION SEGMENTAL
ASSESSMENT 4 
SUBTLETY 4 
PATHOLOGY MALIGNANT
TOTAL_OUTLINES 1 
BOUNDARY
FILE: A_2000_1.RIGHT_CC.OVERLAY

TOTAL_ABNORMALITIES 1
ABNORMALITY 1 
LESION_TYPE CALCIFICATION TYPE PLEOMORPHIC DISTRIBUTION SEGMENTAL
ASSESSMENT 4 
SUBTLETY 4 
PATHOLOGY MALIGNANT
TOTAL_OUTLINES 1 
BOUNDARY