Digital Database for Screening Mammography

Volume: cancer_15 Case: C-0066-1


C_0066_1.RIGHT_MLO

C_0066_1.LEFT_MLO

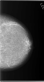
C_0066_1.RIGHT_CC

C_0066_1.LEFT_CC

ics_version 1.0
filename C-0066-1
DATE_OF_STUDY 17 3 1994
PATIENT_AGE 42
FILM
FILM_TYPE REGULAR
DENSITY 1
DATE_DIGITIZED 29 10 1997
DIGITIZER LUMISYS LASER
SEQUENCE
LEFT_CC LINES 5928 PIXELS_PER_LINE 3192 BITS_PER_PIXEL 12 RESOLUTION 50 NON_OVERLAY
LEFT_MLO LINES 5808 PIXELS_PER_LINE 3312 BITS_PER_PIXEL 12 RESOLUTION 50 NON_OVERLAY
RIGHT_CC LINES 5904 PIXELS_PER_LINE 3184 BITS_PER_PIXEL 12 RESOLUTION 50 OVERLAY
RIGHT_MLO LINES 5896 PIXELS_PER_LINE 3144 BITS_PER_PIXEL 12 RESOLUTION 50 OVERLAY

FILE: C_0066_1.RIGHT_MLO.OVERLAY

TOTAL_ABNORMALITIES 1
ABNORMALITY 1
LESION_TYPE CALCIFICATION TYPE PLEOMORPHIC DISTRIBUTION CLUSTERED
LESION_TYPE MASS SHAPE LOBULATED MARGINS MICROLOBULATED
ASSESSMENT 5
SUBTLETY 5
PATHOLOGY MALIGNANT
TOTAL_OUTLINES 1 
BOUNDARY
FILE: C_0066_1.RIGHT_CC.OVERLAY

TOTAL_ABNORMALITIES 1
ABNORMALITY 1
LESION_TYPE CALCIFICATION TYPE PLEOMORPHIC DISTRIBUTION CLUSTERED
LESION_TYPE MASS SHAPE LOBULATED MARGINS MICROLOBULATED
ASSESSMENT 5
SUBTLETY 5
PATHOLOGY MALIGNANT
TOTAL_OUTLINES 1 
BOUNDARY