![]() |
![]() |
![]() |
![]() |
ics_version 1.0 filename C-0471-1 DATE_OF_STUDY 8 9 1997 PATIENT_AGE 48 FILM FILM_TYPE REGULAR DENSITY 2 DATE_DIGITIZED 28 12 1998 DIGITIZER LUMISYS LASER SEQUENCE LEFT_CC LINES 5696 PIXELS_PER_LINE 3520 BITS_PER_PIXEL 12 RESOLUTION 50 NON_OVERLAY LEFT_MLO LINES 5416 PIXELS_PER_LINE 4112 BITS_PER_PIXEL 12 RESOLUTION 50 NON_OVERLAY RIGHT_CC LINES 5768 PIXELS_PER_LINE 4056 BITS_PER_PIXEL 12 RESOLUTION 50 OVERLAY RIGHT_MLO LINES 5936 PIXELS_PER_LINE 4168 BITS_PER_PIXEL 12 RESOLUTION 50 OVERLAY |
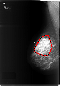
FILE: C_0471_1.RIGHT_MLO.OVERLAY TOTAL_ABNORMALITIES 1 ABNORMALITY 1 LESION_TYPE MASS SHAPE ASYMMETRIC_BREAST_TISSUE MARGINS ILL_DEFINED ASSESSMENT 5 SUBTLETY 5 PATHOLOGY MALIGNANT TOTAL_OUTLINES 1 BOUNDARY |
FILE: C_0471_1.RIGHT_CC.OVERLAY TOTAL_ABNORMALITIES 1 ABNORMALITY 1 LESION_TYPE MASS SHAPE ASYMMETRIC_BREAST_TISSUE MARGINS ILL_DEFINED ASSESSMENT 5 SUBTLETY 5 PATHOLOGY MALIGNANT TOTAL_OUTLINES 1 BOUNDARY |