Digital Database for Screening Mammography

Volume: cancer_15 Case: B-3040-1


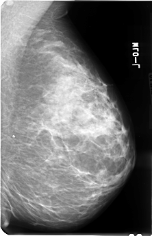
B_3040_1.RIGHT_MLO

B_3040_1.LEFT_MLO

B_3040_1.RIGHT_CC

B_3040_1.LEFT_CC

ics_version 1.0
filename B-3040-1
DATE_OF_STUDY 5 24 1994
PATIENT_AGE 45
FILM
FILM_TYPE REGULAR
DENSITY 3
DATE_DIGITIZED 9 2 1997
DIGITIZER LUMISYS LASER
SEQUENCE
LEFT_CC LINES 4808 PIXELS_PER_LINE 3104 BITS_PER_PIXEL 12 RESOLUTION 50 NON_OVERLAY
LEFT_MLO LINES 4808 PIXELS_PER_LINE 3096 BITS_PER_PIXEL 12 RESOLUTION 50 NON_OVERLAY
RIGHT_CC LINES 4784 PIXELS_PER_LINE 3088 BITS_PER_PIXEL 12 RESOLUTION 50 OVERLAY
RIGHT_MLO LINES 4824 PIXELS_PER_LINE 3112 BITS_PER_PIXEL 12 RESOLUTION 50 OVERLAY

FILE: B_3040_1.RIGHT_MLO.OVERLAY

TOTAL_ABNORMALITIES 2
ABNORMALITY 1
LESION_TYPE MASS SHAPE IRREGULAR MARGINS SPICULATED
ASSESSMENT 4
SUBTLETY 4
PATHOLOGY MALIGNANT
TOTAL_OUTLINES 1 
BOUNDARY
ABNORMALITY 2
LESION_TYPE MASS SHAPE OVAL MARGINS CIRCUMSCRIBED
ASSESSMENT 3
SUBTLETY 3
PATHOLOGY UNPROVEN
TOTAL_OUTLINES 1 
BOUNDARY
FILE: B_3040_1.RIGHT_CC.OVERLAY

TOTAL_ABNORMALITIES 2
ABNORMALITY 1
LESION_TYPE MASS SHAPE IRREGULAR MARGINS SPICULATED
ASSESSMENT 4
SUBTLETY 4
PATHOLOGY MALIGNANT
TOTAL_OUTLINES 1 
BOUNDARY
ABNORMALITY 2
LESION_TYPE MASS SHAPE OVAL MARGINS CIRCUMSCRIBED
ASSESSMENT 3
SUBTLETY 3
PATHOLOGY UNPROVEN
TOTAL_OUTLINES 1 
BOUNDARY