Digital Database for Screening Mammography

Volume: cancer_15 Case: B-3085-1


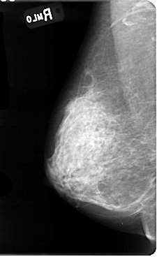
B_3085_1.RIGHT_MLO

B_3085_1.LEFT_MLO

B_3085_1.RIGHT_CC

B_3085_1.LEFT_CC

ics_version 1.0
filename B-3085-1
DATE_OF_STUDY 2 5 1994
PATIENT_AGE 67
FILM
FILM_TYPE REGULAR
DENSITY 3
DATE_DIGITIZED 25 9 1997
DIGITIZER LUMISYS LASER
SEQUENCE
LEFT_CC LINES 4808 PIXELS_PER_LINE 3024 BITS_PER_PIXEL 12 RESOLUTION 50 OVERLAY
LEFT_MLO LINES 4800 PIXELS_PER_LINE 2656 BITS_PER_PIXEL 12 RESOLUTION 50 OVERLAY
RIGHT_CC LINES 4776 PIXELS_PER_LINE 2736 BITS_PER_PIXEL 12 RESOLUTION 50 NON_OVERLAY
RIGHT_MLO LINES 4784 PIXELS_PER_LINE 2920 BITS_PER_PIXEL 12 RESOLUTION 50 NON_OVERLAY

FILE: B_3085_1.LEFT_MLO.OVERLAY

TOTAL_ABNORMALITIES 1
ABNORMALITY 1
LESION_TYPE MASS SHAPE IRREGULAR-ARCHITECTURAL_DISTORTION MARGINS SPICULATED
ASSESSMENT 4
SUBTLETY 4
PATHOLOGY MALIGNANT
TOTAL_OUTLINES 1 
BOUNDARY
FILE: B_3085_1.LEFT_CC.OVERLAY

TOTAL_ABNORMALITIES 1
ABNORMALITY 1
LESION_TYPE MASS SHAPE IRREGULAR-ARCHITECTURAL_DISTORTION MARGINS SPICULATED
ASSESSMENT 4
SUBTLETY 4
PATHOLOGY MALIGNANT
TOTAL_OUTLINES 1 
BOUNDARY