Digital Database for Screening Mammography

Volume: cancer_15 Case: B-3516-1


B_3516_1.RIGHT_MLO

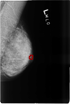
B_3516_1.LEFT_MLO

B_3516_1.RIGHT_CC

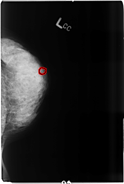
B_3516_1.LEFT_CC

ics_version 1.0
filename B-3516-1
DATE_OF_STUDY 9 3 98
PATIENT_AGE 41
FILM
FILM_TYPE REGULAR
DENSITY 4
DATE_DIGITIZED 18 6 1999
DIGITIZER LUMISYS LASER
SEQUENCE
LEFT_CC LINES 4672 PIXELS_PER_LINE 3144 BITS_PER_PIXEL 12 RESOLUTION 50 OVERLAY
LEFT_MLO LINES 4632 PIXELS_PER_LINE 3112 BITS_PER_PIXEL 12 RESOLUTION 50 OVERLAY
RIGHT_CC LINES 4680 PIXELS_PER_LINE 3104 BITS_PER_PIXEL 12 RESOLUTION 50 NON_OVERLAY
RIGHT_MLO LINES 4664 PIXELS_PER_LINE 3112 BITS_PER_PIXEL 12 RESOLUTION 50 NON_OVERLAY

FILE: B_3516_1.LEFT_MLO.OVERLAY

TOTAL_ABNORMALITIES 1
ABNORMALITY 1
LESION_TYPE CALCIFICATION TYPE PLEOMORPHIC DISTRIBUTION CLUSTERED
ASSESSMENT 4
SUBTLETY 3
PATHOLOGY MALIGNANT
TOTAL_OUTLINES 1 
BOUNDARY
FILE: B_3516_1.LEFT_CC.OVERLAY

TOTAL_ABNORMALITIES 1
ABNORMALITY 1
LESION_TYPE CALCIFICATION TYPE PLEOMORPHIC DISTRIBUTION CLUSTERED
ASSESSMENT 4
SUBTLETY 3
PATHOLOGY MALIGNANT
TOTAL_OUTLINES 1 
BOUNDARY