Digital Database for Screening Mammography

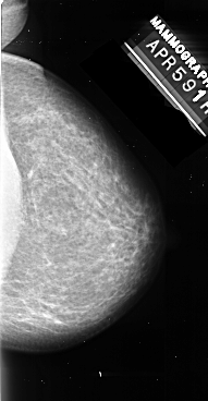
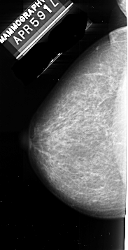
Volume: normal_01 Case: A-0031-1


A_0031_1.LEFT_MLO

A_0031_1.RIGHT_MLO

A_0031_1.LEFT_CC

A_0031_1.RIGHT_CC

ics_version 1.0
filename A-0031-1
DATE_OF_STUDY 5 4 1991
PATIENT_AGE 64
FILM
FILM_TYPE REGULAR
DENSITY 2
DATE_DIGITIZED 5 2 1996
DIGITIZER DBA 21

LEFT_CC LINES 5009 PIXELS_PER_LINE 2549 BITS_PER_PIXEL 16 RESOLUTION 42 NON_OVERLAY
LEFT_MLO LINES 5159 PIXELS_PER_LINE 2639 BITS_PER_PIXEL 16 RESOLUTION 42 NON_OVERLAY
RIGHT_CC LINES 5144 PIXELS_PER_LINE 2669 BITS_PER_PIXEL 16 RESOLUTION 42 NON_OVERLAY
RIGHT_MLO LINES 4949 PIXELS_PER_LINE 2729 BITS_PER_PIXEL 16 RESOLUTION 42 NON_OVERLAY