![]() |
![]() |
![]() |
![]() |
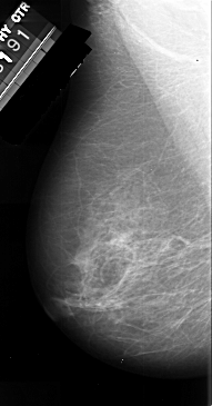
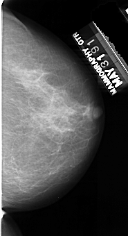
ics_version 1.0 filename A-0032-1 DATE_OF_STUDY 31 5 1991 PATIENT_AGE 67 FILM FILM_TYPE REGULAR DENSITY 2 DATE_DIGITIZED 5 2 1996 DIGITIZER DBA 21 LEFT_CC LINES 5219 PIXELS_PER_LINE 2789 BITS_PER_PIXEL 16 RESOLUTION 42 NON_OVERLAY LEFT_MLO LINES 5474 PIXELS_PER_LINE 2864 BITS_PER_PIXEL 16 RESOLUTION 42 NON_OVERLAY RIGHT_CC LINES 5099 PIXELS_PER_LINE 2774 BITS_PER_PIXEL 16 RESOLUTION 42 NON_OVERLAY RIGHT_MLO LINES 5399 PIXELS_PER_LINE 3014 BITS_PER_PIXEL 16 RESOLUTION 42 NON_OVERLAY |