Digital Database for Screening Mammography

Volume: normal_01 Case: A-0071-1


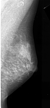
A_0071_1.LEFT_MLO

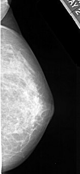
A_0071_1.RIGHT_MLO

A_0071_1.LEFT_CC

A_0071_1.RIGHT_CC

ics_version 1.0
filename A-0071-1
DATE_OF_STUDY 24 5 1991
PATIENT_AGE 47
FILM
FILM_TYPE REGULAR
DENSITY 2
DATE_DIGITIZED 28 2 1996
DIGITIZER DBA 21

LEFT_CC LINES 5114 PIXELS_PER_LINE 2234 BITS_PER_PIXEL 16 RESOLUTION 42 NON_OVERLAY
LEFT_MLO LINES 5234 PIXELS_PER_LINE 2564 BITS_PER_PIXEL 16 RESOLUTION 42 NON_OVERLAY
RIGHT_CC LINES 4754 PIXELS_PER_LINE 2204 BITS_PER_PIXEL 16 RESOLUTION 42 NON_OVERLAY
RIGHT_MLO LINES 5474 PIXELS_PER_LINE 2534 BITS_PER_PIXEL 16 RESOLUTION 42 NON_OVERLAY